- HOME
- マウスピース型(アライナー型)矯正装置(インビザライン®)
マウスピース型(アライナー型)矯正装置(インビザライン®)
【治療例 K4500】初診時年齢:23歳4か月 / 性別:女性 / 主訴:上の歯が出てきた気がする、正中がずれている
症例の概要:この症例は、当院で幼少期にマルチブラケット装置にて治療を行ったが、成人になって上の前歯が出てきた気がするということで来院された。下顎の正中が顔面正中に対して左方偏位していることで左側の臼歯関係はⅡ級を呈した。マウスピース型(アライナー型)矯正装置(インビザライン®)でIPRを行いながら唇側傾斜の改善ならびに正中線の一致を試みた。その結果、左側の臼歯関係はⅠ級関係を築き、唇側傾斜の改善および正中線が一致した。
主訴:上の歯が出てきた気がする、正中がずれている
診断名: 左側アングルⅡ級の上顎前突症例
使用した主な装置: マウスピース型(アライナー型)矯正装置(インビザライン®)、IPR、顎間ゴム
抜歯/非抜歯および抜歯部位: 非抜歯
治療の費用
自費合計 1,149,500円+保険(親知らず抜歯)| 矯正相談料 | 3,300円 |
|---|
| 基本検査料 | 55,000円 |
|---|
| 診断料 | 7,700円 |
|---|
| 矯正基本料 | 990,000円 |
|---|
| 調整料 | 93,500円 |
|---|
| 観察料 | (観察中) |
|---|
※上記価格は税込価格です。消費税は10%で表示しております。
※こちらの症例は2023年5月から2024年12月に行った矯正歯科治療です
治療期間:1年7か月
治療回数:19回
アライナー枚数:初回61枚 合計61枚使用
リスクの副作用:歯の移動や抜歯による違和感や疼痛、口内炎、歯肉退縮、歯根吸収が生じることがある
【治療例 K8777】初診時年齢:18歳8か月 / 性別:男性 / 主訴:上の歯のすきっ歯と出っ歯
本症例は、上顎前歯部の空隙と突出を気にして来院された。マウスピース型(アライナー型)矯正装置(インビザライン®)を用いて、上顎臼歯部の遠心移動とIPRを行いながら主訴の改善を図った。 その結果、上下前歯部間の距離は改善され、わずかであるが下顎の前方移動が認められた。
主訴:上の歯のすきっ歯と出っ歯
診断名:上顎前歯部にスぺースのある骨格性上顎前突症例
使用した主な装置:マウスピース型(アライナー型)矯正装置(インビザライン®)
抜歯/非抜歯および抜歯部位:非抜歯
治療の費用
自費合計1,133,000円+保険(親知らず抜歯)| 矯正相談料 | 3,300円 |
|---|
| 基本検査料 | 55,000円 |
|---|
| 診断料 | 7,700円 |
|---|
| 矯正基本料 | 990,000円 |
|---|
| 調整料 | 77,000円 |
|---|
| 観察料 | (観察中) |
|---|
※上記価格は税込価格です。消費税は10%で表示しております。
※こちらの症例は2024年2月から2025年7月に行った矯正です
治療期間:1年5か月
治療回数:19回
アライナー枚数:初回38枚+追加①5枚 合計43枚使用
リスクの副作用:歯の移動や抜歯による違和感や疼痛、口内炎、歯肉退縮、歯根吸収が生じることがある
【治療例 K5098】初診時年齢:23歳3か月 / 性別:女性 / 主訴:出っ歯になってきている気がする
幼少期に当院にてサービカルヘッドギアとマルチブラケット装置を使用して治療したが、成人になってから出っ歯を主訴に来院された。IPRを行いながら、上顎前突と正中の不一致の改善をインビザライン®にて再治療した症例である。
主訴:出っ歯になってきている気がする
診断名:下顎歯列正中が左方偏移した上顎前突症例
使用した主な装置:アライナー型(マウスピース型)矯正装置(インビザライン®)、顎間ゴム
抜歯/非抜歯および抜歯部位:非抜歯
治療の費用
自費合計1,144,000円| 矯正相談料 | 3,300円 |
|---|
| 基本検査料 | 55,000円 |
|---|
| 診断料 | 7,700円 |
|---|
| 矯正基本料 | 990,000円 |
|---|
| 調整料 | 88,000円 |
|---|
| 観察料 | (観察中) |
|---|
※上記価格は税込価格です。消費税は10%で表示しております。
※こちらの症例は2023年12月から2025年7月に行った矯正治療です
治療期間:1年7か月
治療回数:14回
アライナー枚数:初回22枚+追加①17枚 合計39枚使用
リスクの副作用:歯の移動や抜歯による違和感や疼痛、口内炎、歯肉退縮、歯根吸収が生じることがある
【治療例 K8255】初診時年齢:20歳2か月 / 性別:女性 / 主訴:前歯が出っ張って乱杭になっている
本症例は上顎前歯の叢生と上顎前突を主訴に来院された。下顎両側側切歯の先天性欠如を認めたほか、上顎は第三大臼歯まで萌出しており、口唇閉鎖不全が認められた。上顎両側第一小臼歯を抜歯しアライナー型(マウスピース型)矯正装置(インビザライン®)で治療した症例である。その結果口唇閉鎖も容易になり顔貌も改善した症例である。
主訴:前歯が出っ張って乱杭になっている
診断名:下顎両側側切歯の先天性欠如を認める上顎前突抜歯症例
使用した主な装置:アライナー型(マウスピース型)矯正装置(インビザライン®)、IPR
抜歯/非抜歯および抜歯部位:上顎両側第一小臼歯
治療の費用
自費合計1,171,500円| 矯正相談料 | 3,300円 |
|---|
| 基本検査料 | 55,000円 |
|---|
| 診断料 | 7,700円 |
|---|
| 矯正基本料 | 990,000円 |
|---|
| 外科処置[自費] | 11,000円 |
|---|
| 調整料 | 104,500円 |
|---|
| 観察料 | (観察中) |
|---|
※上記価格は税込価格です。消費税は10%で表示しております。
※こちらの症例は2023年1月から2025年10月に行った矯正治療です
治療期間:2年10か月
治療回数:21回
アライナー枚数:初回40枚+追加①30枚 合計70枚使用
リスクの副作用:歯の移動や抜歯による違和感や疼痛、口内炎、歯肉退縮、歯根吸収が生じることがある
【治療例 K6900】初診時年齢:22歳3か月 / 性別:女性 / 主訴:ガタガタ
治療の概要:上下歯列の叢生および正中線のずれを主訴に来院した。
治療開始前に埋伏していた親知らず4本を抜去後、マウスピース型(アライナー型)矯正装置(インビザライン®)により臼歯の遠心移動と歯間隣接面削合(IPR)を行った結果、緊密な咬合を獲得することが出来た。
主訴:ガタガタ
診断名:上顎前歯の舌側傾斜認めたAngleⅠ級叢生症例
使用した主な装置:マウスピース型(アライナー型)矯正装置(インビザライン®)、IPR、顎間ゴム
抜歯/非抜歯および抜歯部位:非抜歯
治療の費用
自費合計 1,200,100円| 矯正相談料 | 3,300円 |
|---|
| 基本検査料 | 55,000円 |
|---|
| 診断料 | 7,700円 |
|---|
| 矯正基本料 | 990,000円 |
|---|
| 調整料 | 121,000円 |
|---|
| 観察料 | 23,100円 |
|---|
※上記価格は税込価格です。消費税は10%で表示しております。
※こちらの症例は2019年3月から2021年1月に行った矯正治療です
治療期間:1年10か月
治療回数:29回
アライナー枚数:初回33枚+追加①18枚+追加②21枚 合計72枚使用
リスクの副作用:歯の移動や抜歯による違和感や疼痛、口内炎、歯肉退縮、歯根吸収が生じることがある
【治療例 K8286】初診時年齢:27歳2か月 / 性別:男性 / 主訴:上の前歯が内側に倒れている。嚙み合わせが悪い
治療の概要:この症例は、上顎右側側切歯の交叉咬合を主訴に来院された。下顎両側第三大臼歯を抜歯した後、マウスピース型(アライナー型)矯正装置(インビザライン®)で側方拡大とIPRを行いながら咬合の改善を行った。
主訴:上の前歯が内側に倒れている。嚙み合わせが悪い
診断名:アングルⅠ級、叢生、交叉咬合
使用した主な装置:マウスピース型(アライナー型)矯正装置(インビザライン®)、顎間ゴム
抜歯/非抜歯および抜歯部位:非抜歯
治療の費用
自費合計1,127,500円| 矯正相談料 | 3,300円 |
|---|
| 基本検査料 | 55,000円 |
|---|
| 診断料 | 7,700円 |
|---|
| 矯正基本料 | 990,000円 |
|---|
| 調整料 | 71,500円 |
|---|
| 観察料 | (観察中) |
|---|
※上記価格は税込価格です。消費税は10%で表示しております。
※こちらの症例は2022年7月から2023年9月に行った矯正治療です
治療期間:1年3か月
治療回数:18回
アライナー枚数:初回21枚+追加①17枚 合計38枚使用
リスクの副作用:歯の移動や抜歯による違和感や疼痛、口内炎、歯肉退縮、歯根吸収が生じることがある
【治療例 K8301】初診時年齢:61歳0か月 / 性別:女性 / 主訴:上前歯が出てきた、下のガタガタ
治療の概要:45年前に名誉院長が上下顎両側第一小臼歯を抜歯をした症例であるが、上下顎前歯部に後戻り(叢生)が認められた。隣接歯面の削合を行いながらマウスピース型(アライナー型)矯正装置(インビザライン®)にて叢生の改善を行った。
主訴:上前歯が出てきた、下のガタガタ
診断名:上下顎両側第一小臼歯の既抜歯を行っていた後戻り症例
使用した主な装置:マウスピース型(アライナー型)矯正装置(インビザライン®)
抜歯/非抜歯および抜歯部位:非抜歯(上下顎両側第一小臼歯の既抜歯)
治療の費用
自費合計1,149,500円| 矯正相談料 | 3,300円 |
|---|
| 基本検査料 | 55,000円 |
|---|
| 診断料 | 7,700円 |
|---|
| 矯正基本料 | 990,000円 |
|---|
| 調整料 | 77,000円 |
|---|
| 観察料 | 16,500円 |
|---|
※上記価格は税込価格です。消費税は10%で表示しております。
※こちらの症例は2022年6月から2023年11月に行った矯正です
治療期間:1年5か月
治療回数:21回
アライナー枚数:初回31枚+追加①10枚 合計41枚使用
リスクの副作用:歯の移動や抜歯による違和感や疼痛、口内炎、歯肉退縮、歯根吸収が生じることがある
【治療例 K8697】初診時年齢:16歳4か月 / 性別:女性 / 主訴:歯の並びがななめになっている
治療の概要:歯列の叢生および歯の捻転を主訴に来院した症例である。治療にはマウスピース型 (アライナー型)矯正装置(インビザライン®)と下顎の部分矯正を併用した。IPRおよび歯列弓の拡大によってスペースを獲得し、非抜歯にて歯列の排列を行った。 矯正治療後半では、マウスピース型 (アライナー型)矯正装置(インビザライン®)単独での改善が困難であった下顎左側第二小臼歯の捻転に対し、部分的にマルチブラケット装置とワイヤーを併用した。その結果、歯の捻転が改善され、安定した咬合関係を獲得することができた。
主訴:歯の並びがななめになっている
診断名:左側第二小臼歯の交叉咬合を伴う叢生症例
使用した主な装置:マウスピース型 (アライナー型)矯正装置(インビザライン®)
抜歯/非抜歯および抜歯部位:非抜歯
治療の費用
自費合計1,177,000円| 矯正相談料 | 3,300円 |
|---|
| 基本検査料 | 55,000円 |
|---|
| 診断料 | 7,700円 |
|---|
| 矯正基本料 | 990,000円 |
|---|
| 調整料 | 121,000円 |
|---|
| 観察料 | (観察中) |
|---|
※上記価格は税込価格です。消費税は10%で表示しております。
※こちらの症例は2023年11月から2025年11月に行った矯正です
治療期間:2年0か月
治療回数:33回
アライナー枚数:初回27枚+追加①15枚 合計42枚使用
リスクの副作用:歯の移動や抜歯による違和感や疼痛、口内炎、歯肉退縮、歯根吸収が生じることがある
【治療例 K5314】初診時年齢:19歳6か月 / 性別:女性 / 主訴:後戻りしてきた
治療の概要:本症例は、幼少期に上の前歯の歯並びが気になり、上顎前歯部のみ装置をつけて治療を行いました。その後、下の前歯にもガタつきがみられましたが、本格的な第二期治療は行いませんでした。成人後に再来院された際、親知らずの萌出に伴い歯並びの乱れが再発していました。上下の親知らずを抜歯したうえで、マウスピース型矯正装置(インビザライン®)を用いて歯列を広げながら歯を整えました。歯を削る処置(IPR)は行わずに排列を行っています。現在は整った歯並びと安定した咬合状態を得ています。
主訴:後戻りしてきた
診断名:下顎前歯部叢生 非抜歯症例
使用した主な装置:アライナー型(マウスピース型)矯正装置(インビザライン®)
抜歯/非抜歯および抜歯部位:非抜歯
治療の費用
自費合計1,127,500円+保険(親知らず抜歯)| 矯正相談料 | 3,300円 |
|---|
| 基本検査料 | 55,000円 |
|---|
| 診断料 | 7,700円 |
|---|
| 矯正基本料 | 990,000円 |
|---|
| 調整料 | 71,500円 |
|---|
| 観察料 | (観察中) |
|---|
※上記価格は税込価格です。消費税は10%で表示しております。
※こちらの症例は2024年10月から2026年1月に行った矯正治療です
治療期間:1年3か月
治療回数:11回
アライナー枚数:初回18枚 合計18枚使用
リスクの副作用:歯の移動や抜歯による違和感や疼痛、口内炎、歯肉退縮、歯根吸収が生じることがある
【治療例 K8364】初診時年齢:26歳1か月 / 性別:女性 / 主訴:上の八重歯と前歯のがたつき、下の前歯が押されて痛い
治療の概要:本症例は、左側第二小臼歯に鋏状咬合を伴う前歯部叢生症例である。上下顎第一小臼歯の抜歯を行い、その後、IPRを併用しながらアライナー型矯正装置(インビザライン®)による治療を実施した。治療の結果、左側第二小臼歯の鋏状咬合および上下前歯部の叢生は改善され、適正なオーバーバイトおよびオーバージェットが獲得された。
主訴:上の八重歯と前歯のがたつき、下の前歯が押されて痛い
診断名:左側第二小臼歯の鋏状咬合を伴ったAngleⅠ級 叢生 抜歯症例
使用した主な装置:マウスピース型(アライナー型)矯正装置(インビザライン®)
抜歯/非抜歯および抜歯部位:抜歯(上下顎両側第一小臼歯)
治療の費用
自費合計1,259,500円+保険(親知らず抜歯)| 矯正相談料 | 3,300円 |
|---|
| 基本検査料 | 55,000円 |
|---|
| 診断料 | 7,700円 |
|---|
| 矯正基本料 | 990,000円 |
|---|
| 外科処置[自費] | 22,000円 |
|---|
| 調整料 | 181,500円 |
|---|
| 観察料 | (観察中) |
|---|
※上記価格は税込価格です。消費税は10%で表示しております。
※こちらの症例は2023年3月から2026年3月に行った矯正です
治療期間:3年0か月
治療回数:44回
アライナー枚数:初回25枚(20枚で中止)+追加①41枚(12枚で中止)+追加②28枚+追加③18枚(17枚で中止)+追加④13枚
リスクの副作用:歯の移動や抜歯による違和感や疼痛、口内炎、歯肉退縮、歯根吸収が生じることがある
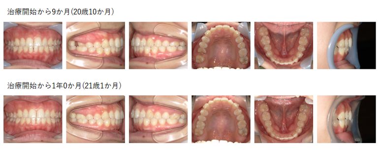
【治療例 K9022】初診時年齢:17歳0か月 / 性別:女性 / 主訴:上の歯は出ていて、下の歯はガタガタ。
症例の概要:本症例は、左側第二大臼歯に鋏状咬合を伴う過蓋咬合症例である。治療に先立ち上下顎第三大臼歯の抜歯を行い、その後IPRを併用しながらアライナー型矯正装置(インビザライン®)による治療を実施した。治療の結果、左側第二大臼歯の鋏状咬合および上下前歯部の叢生は改善され、上下歯列正中に軽度の偏位を残すものの、適正なオーバーバイトおよびオーバージェットを獲得した。
主訴: 上の歯は出ていて、下の歯はガタガタ。
診断名: 左側第二大臼歯の鋏状咬合を伴うAngleⅠ級 叢生の 過蓋咬合 非抜歯症例
使用した主な装置: アライナー型(マウスピース型)矯正装置(インビザライン®)
抜歯/非抜歯および抜歯部位: 非抜歯
治療の費用
自費合計 1,144,000円+保険(親知らず抜歯)| 矯正相談料 | 3,300円 |
|---|
| 基本検査料 | 55,000円 |
|---|
| 診断料 | 7,700円 |
|---|
| 矯正基本料 | 990,000円 |
|---|
| 調整料 | 88,000円 |
|---|
| 観察料 | (観察中) |
|---|
※上記価格は税込価格です。消費税は10%で表示しております。
※こちらの症例は2024年11月から2026年1月に行った矯正です
治療期間:1年2か月
来院回数:14回
アライナー枚数:初回20枚+追加①16枚 合計36枚使用
リスクの副作用:歯の移動や抜歯による違和感や疼痛、口内炎、歯肉退縮、歯根吸収が生じることがある
【治療例 K7347】初診時年齢:22歳10か月 / 性別:女性 / 主訴:出っ歯、物が噛み切れない
症例の概要:開咬と口元の突出を主訴に来院した。第三大臼歯4本抜歯後、アライナー型矯正装置(インビザライン)を用いて非抜歯で治療し良好な咬合を得た。保定終了後も上下のFSWリテーナーは継続とした。
主訴: 出っ歯、物が噛み切れない
診断名: 開咬
使用した主な装置: マウスピース型(アライナー型)矯正装置(インビザライン®)、IPR
抜歯/非抜歯および抜歯部位: 非抜歯
治療の費用
自費合計 1,262,800円| 矯正相談料 | 3,300円 |
|---|
| 基本検査料 | 55,000円 |
|---|
| 診断料 | 7,700円 |
|---|
| 矯正基本料 | 990,000円 |
|---|
| 調整料 | 154,000円 |
|---|
| 観察料 | 52,800円 |
|---|
※上記価格は税込価格です。消費税は10%で表示しております。
※こちらの症例は2019年12月から2022年9月に行った矯正治療です
治療期間:2年9か月
来院回数:43回
アライナー枚数:初回23枚(18枚で中止)+追加①29枚(25枚で中止)+追加②16枚(11枚で中止)+追加③18枚+追加④13枚 合計85枚使用
リスクの副作用:歯の移動や抜歯による違和感や疼痛、口内炎、歯肉退縮、歯根吸収が生じることがある
【治療例 K7491】初診時年齢:22歳4か月 / 性別:女性 / 主訴:前歯で咬めない、奥歯の負担が大きい、発音しにくい
症例の概要:幼少期に近隣の一般歯科で取り外し可能な装置で受け口の治療をしたが、日に日に開咬を呈してきたという。前歯で咬みきれないこと、発音障害があること、奥歯の負担が大きく、たまに痛みがあることが主訴であったが、舌癖や顔面正中線に対しての下顎骨の左方偏位も認められた。この症例は、マウスピース型(アライナー型)矯正装置(インビザライン®)と顎間ゴムのみで治療し、顔貌も改善した開咬症例である。
主訴: 前歯で咬めない、奥歯の負担が大きい、発音しにくい
診断名: 開咬症例
使用した主な装置: マウスピース型(アライナー型)矯正装置(インビザライン®)
抜歯/非抜歯および抜歯部位: 非抜歯
治療の費用
自費合計 1,232,000円| 矯正相談料 | 3,300円 |
|---|
| 基本検査料 | 55,000円 |
|---|
| 診断料 | 7,700円 |
|---|
| 矯正基本料 | 990,000円 |
|---|
| 調整料 | 176,000円 |
|---|
| 観察料 | (観察中) |
|---|
※上記価格は税込価格です。消費税は10%で表示しております。
※こちらの症例は2020年7月から2024年6月に行った矯正です
治療期間:3年11か月
治療回数:36回
アライナー枚数:初回36枚+追加①21枚(18枚で中止)+追加②18枚+追加③15枚+追加④9枚 合計96枚使用
リスクの副作用:歯の移動や抜歯による違和感や疼痛、口内炎、歯肉退縮、歯根吸収が生じることがある
【治療例 K7990】初診時年齢:33歳10か月 / 性別:女性 / 主訴:前歯で咬めない
症例の概要:この症例は、下顎右側第一小臼歯に歯牙腫を認めた軽度の開咬症例である。他院では上下第一小臼歯抜歯症例と言われセカンドオピニオンとして当院に来院。当院では上下第三大臼歯抜歯後、歯牙腫に配慮して、マウスピース型(アライナー型)矯正装置(インビザライン®)を用いてIPRを併用しながら小臼歯非抜歯で治療した症例である。
主訴: 前歯で咬めない
診断名: 軽度の開咬を伴う叢生症例
使用した主な装置: マウスピース型(アライナー型)矯正装置(インビザライン®)、IPR、顎間ゴム
抜歯/非抜歯および抜歯部位: 非抜歯
治療の費用
自費合計 1,070,500円+保険(親知らず抜歯)| 矯正相談料 | 3,300円 |
|---|
| 基本検査料 | 55,000円 |
|---|
| 診断料 | 7,700円 |
|---|
| 矯正基本料 | 990,000円 |
|---|
| 調整料 | 93,500円 |
|---|
| 観察料 | (観察中) |
|---|
※上記価格は税込価格です。消費税は10%で表示しております。
※こちらの症例は2022年1月から2024年10月に行った矯正です
治療期間:2年9か月
治療回数:20回
アライナー枚数:初回19枚+追加①12枚+追加②13枚 合計44枚使用
リスクの副作用:歯の移動や抜歯による違和感や疼痛、口内炎、歯肉退縮、歯根吸収が生じることがある














