- HOME
- 外科的矯正治療の治療例
【治療例】初診時年齢:35歳4か月 / 性別:女性 / 主訴:上前歯が出ている、顎が小さい、口が開きにくい
 
                            治療の概要:上の前歯の突出および開咬障害を主訴に来院された。下顎左側犬歯の埋伏や歯肉退縮が認められたほか、根管治療や補綴治療の処置が施されていた。上顎はクワドヘリックス装置、下顎はバイヘリックス装置にて歯列の拡大を行ったのち、下顎左側犬歯及び上顎両側第一小臼歯の抜歯後に上下マルチブラケット装置でレベリングを開始したのち、上下顎骨手術を行った症例である。
主訴:上前歯が出ている、顎が小さい、口が開きにくい
診断名:下顎左側犬歯の水平埋伏と重度の歯肉退縮を認める上下顎前突
使用した主な装置:クワドヘリックス、バイヘリックス、マルチブラケット装置、顎間ゴム
抜歯/非抜歯および抜歯部位:抜歯(上顎両側第一小臼歯、下顎左側犬歯)
治療の費用
合計32,500円(保険適用+医療証)*顎矯正手術にかかわる入院費や手術費等を除く
※上記価格は税込価格です。消費税は10%で表示しております。
※こちらの症例は2020年5月から2023年9月に行った矯正治療です(現在も経過観察中)
治療期間:3年4か月
治療回数:65回
                                        リスクの副作用:歯の移動や抜歯による違和感や疼痛、口内炎、歯肉退縮、歯根吸収が生じることがある
【治療例】初診時年齢:14歳4か月 / 性別:男性 / 主訴:乱杭歯、受け口
 
                                治療の概要:初診相談時年齢が14歳と成長の真っただ中であったため、成長終了時を待って治療開始をした症例である。上下顎第一小臼歯と上下顎第三大臼歯を抜去して上下マルチブラケット装置を装着し、上下顎矯正手術を行い綺麗な顔貌と緊密な咬合を獲得することが出来た。
主訴:乱杭歯、受け口
診断名:著しい叢生を伴う骨格性下顎前突症例
使用した主な装置:マルチブラケット装置、顎間ゴム
抜歯/非抜歯および抜歯部位:抜歯(上下両側第一小臼歯)
治療の費用
合計242,920円(保険適応)*顎矯正手術にかかわる入院費や手術費等を除く
※上記価格は税込価格です。消費税は10%で表示しております。
※こちらの症例は2011年4月から2015年5月に行った矯正治療です。
治療期間:4年1か月
治療回数:58回
                                            リスクの副作用:歯の移動や抜歯による違和感や疼痛、口内炎、歯肉退縮、歯根吸収が生じることがある
【治療例】初診時年齢:18歳6か月 / 性別:女性 / 主訴:反対咬合、左右非対称、咬み合わせ、顎が目立つ
主訴: 反対咬合、左右非対称、咬み合わせ、顎が目立つ
診断名: 上下歯列正中の偏位が認められた骨格性下顎前突症例
使用した主な装置: マルチブラケット装置、顎間ゴム
抜歯/非抜歯および抜歯部位: 非抜歯
治療の費用
合計 247,710円(保険適応)*顎矯正手術にかかわる入院費や手術費等を除く
※上記価格は税込価格です。消費税は10%で表示しております。
こちらの症例は2021年5月から2024年4月に行った矯正治療です(現在も経過観察中)
                                        治療期間:2年11か月
                                        治療回数:32回
                                        リスクの副作用:歯の移動や抜歯による違和感や疼痛、口内炎、歯肉退縮、歯根吸収が生じることがある
                                    
【治療例】初診時年齢:16歳8か月 / 性別:男性 / 主訴:切端咬合、顎が長い、受け口、笑うと下顎が出る
 
                            症例の概要:この症例は受け口で顎が長いことを主訴に来院された。大臼歯関係がⅢ級の下顎骨の左方偏位による顔面非対称の症例である。上下マルチブラケット装置の調整にて術前矯正を行った後、上下顎骨切り術を行うことで顔面の非対称性および骨格的な改善を行った。
主訴: 切端咬合、顎が長い、受け口、笑うと下顎が出る
診断名: 顔面左右非対称が認められた骨格性下顎前突症例
使用した主な装置: マルチブラケット装置、顎間ゴム
抜歯/非抜歯および抜歯部位: 非抜歯
治療の費用
合計 244,540円(保険適応)*顎矯正手術にかかわる入院費や手術費等を除く
※上記価格は税込価格です。消費税は10%で表示しております。
※こちらの症例は2020年12月から2024年3月に行った矯正治療です(現在も経過観察中)
                                        治療期間:3年3か月
                                        治療回数:34回
                                        リスクの副作用:歯の移動や抜歯による違和感や疼痛、口内炎、歯肉退縮、歯根吸収が生じることがある
                                    
【治療例】初診時年齢:23歳8か月 / 性別:女性 / 主訴:前歯が出ているために口を閉じにくい
 
                            症例の概要:下唇が突出した受け口の側貌でした。顔貌の改善のために外科的矯正を選択しました。下顎歯列が内側に位置していたために下顎はバイヘリックス装置にて側方拡大し、それに合わせて上顎は急速拡大装置にて側方拡大を行い、上下顎非抜歯にて顎矯正手術を行いました。ただし、4本の第三大臼歯(親知らず)は手術のために抜歯を行いました。
主訴: 前歯が出ているために口を閉じにくい
診断名: 上下顎矯正手術を併用の下顎歯列の舌側傾斜を認める骨格性Ⅲ級、ハイアングル
使用した主な装置: マルチブラケット装置、急速拡大装置、顎間ゴム
抜歯/非抜歯および抜歯部位: 非抜歯
治療の費用
合計 256,390円(保険適応)*顎矯正手術にかかわる入院費や手術費等を除く
※上記価格は税込価格です。消費税は10%で表示しております。
こちらの症例は2014年4月から2018年10月に行った矯正治療です(2016年9月~は保定期間)
                                        治療期間:4年6か月
                                        治療回数:44回
                                        リスクの副作用:歯の移動や抜歯による違和感や疼痛、口内炎、歯肉退縮、歯根吸収が生じることがある
                                    
【治療例】初診時年齢:28歳11か月 / 性別:女性 / 主訴:口元が出ている、前歯で噛めない
 
                            治療の概要:上下前歯が突出していることにより、口元の突出感を主訴に来院した。術前矯正治療では下顎両側第一大臼歯を抜歯し、下顎第三大臼歯を下顎第二大臼歯として代用した。そして、手術時には上顎両側第一小臼歯の抜歯を行い、上下顎骨手術にて顔貌の改善と噛み合わせを行った。術後矯正後、本人の希望によって後日オトガイ形成術を行った症例である。
主訴:口元が出ている、前歯で噛めない
診断名:上下顎前突症例
使用した主な装置:マルチブラケット装置、顎間ゴム
抜歯/非抜歯および抜歯部位:抜歯(上顎両側第一小臼歯、下顎両側第一大臼歯)
治療の費用
合計 275,260円(保険適応)*顎矯正手術にかかわる入院費や手術費等を除く
※上記価格は税込価格です。消費税は10%で表示しております。
※こちらの症例は2019年11月から2023年12月に行った矯正治療です(現在も経過観察中)
治療期間:4年1か月
                                        治療回数:53回
                                        リスクの副作用:歯の移動や抜歯による違和感や疼痛、口内炎、歯肉退縮、歯根吸収が生じることがある
【治療例】初診時年齢:26歳8か月 / 性別:女性 / 主訴:下前歯が上の歯茎に食い込む、上が出ている、すきっ歯
 
                            症例の概要:主訴以外の左側第二小臼歯の鋏状咬合が認められたほか、骨格性の前後的な不調和が大きく認められた。顎矯正手術時に上顎両側第一小臼歯の抜歯を行って上顎骨を後退させ、そこに下顎骨を前方移動させた。本人の希望により、術後矯正中にオトガイ形成手術を行った症例である。
主訴:下前歯が上の歯茎に食い込む、上が出ている、すきっ歯
診断名:上顎前突を伴った過蓋咬合症例
使用した主な装置:マルチブラケット装置、顎間ゴム
抜歯/非抜歯および抜歯部位:上顎両側第一小臼歯
治療の費用
合計 236,050円(保険適応)*顎矯正手術にかかわる入院費や手術費等を除く
※上記価格は税込価格です。消費税は10%で表示しております。
※こちらの症例は2021年6月から2024年1月に行った矯正治療です(現在も経過観察中)
治療期間:2年7か月
治療回数:40回
                                        リスクの副作用:歯の移動や抜歯による違和感や疼痛、口内炎、歯肉退縮、歯根吸収が生じることがある
【治療例】初診時年齢:29歳3か月 / 性別:女性 / 主訴:下顎が突き出ている。
 
                            本症例は、受け口を主訴に来院された。上顎は右側第二小臼歯と第一大臼歯と左側第一大臼歯、下顎は右側第一大臼歯がむし歯のため抜歯されていた。そのため、上下歯列全体に空隙がみられ、さらに、抜歯部位に対する対合歯の挺出が認められた。その他、上顎左側第三大臼歯の半萌出や、上顎右側側切歯の矮小歯も認めた。通法通り、マルチブラケット装置にて術前矯正終了後、上下顎骨切り術で骨格の改善を行い、術後矯正終了後に韓国でデンタルインプラントを植立してもらった。右側第二大臼歯の交叉咬合は残ったが、それ以外は緊密な咬合が得られ、比較的良好な側貌を獲得することができた症例である。
主訴:下顎が突き出ている。
診断名:う蝕による4本の既抜歯を伴った骨格性下顎前突症例
使用した主な装置:マルチブラケット装置、歯肉切除、顎間ゴム
抜歯/非抜歯および抜歯部位:非抜歯
治療の費用
合計303,620円(保険適応)*顎矯正手術にかかわる入院費や手術費等を除く
※上記価格は税込価格です。消費税は10%で表示しております。
※こちらの症例は2021年2月から2025年9月に行った矯正治療です(現在も経過観察中)
治療期間:4年7か月
治療回数:70回
                                        リスクの副作用:歯の移動や抜歯による違和感や疼痛、口内炎、歯肉退縮、歯根吸収が生じることがある
【治療例】初診時年齢:23歳10か月 / 性別:女性 / 主訴:開咬。噛み合わせが悪く頭痛がある。
 
                            治療の概要:顎関節症状および頭痛を伴った骨格性の開咬症例。
下顎左側第三大臼歯を抜歯後、マルチブラケット装置を装着し術前矯正を開始し、口腔外科病院で上下顎矯正手術を行った後、当院にて術後矯正を行った。患者本人の希望により、オトガイ形成手術でオトガイを前方に出す手術も行った。
                                
主訴:開咬。噛み合わせが悪く頭痛がある。
診断名: 舌突出癖を伴った骨格性開咬の外科的矯正治療症例
使用した主な装置: 上下顎骨切術とオトガイ形成手術、マルチブラケット装置、顎間ゴム
抜歯/非抜歯および抜歯部位: 非抜歯
治療の費用
267,380円(保険適応)*顎矯正手術にかかわる入院費や手術費等を除く
※上記価格は税込価格です。消費税は10%で表示しております。
※こちらの症例は2019年2月から2023年月1に行った矯正治療です(現在も経過観察中)
                                        治療期間:4年1か月
                                        治療回数:40回
                                        リスクの副作用:歯の移動や抜歯による違和感や疼痛、口内炎、歯肉退縮、歯根吸収が生じることがある
                                    
【治療例】初診時年齢:38歳4か月 / 性別:女性 / 主訴:噛み合わせが気になる
 
                            治療の概要:噛み合わせと下顎骨の後退感を主訴に来院した。上顎右側第一小臼歯を幼少の頃に抜歯をしており、下顎両側第二小臼歯の先天性欠如を伴った開咬症例を上下顎骨切り術にて改善した症例である。
主訴:噛み合わせが気になる
診断名:下顎第二小臼歯の先天性欠如及び上顎右側第一小臼歯の既抜歯を伴う骨格性の開咬症例
使用した主な装置:マルチブラケット装置、顎間ゴム
抜歯/非抜歯および抜歯部位:抜歯(上顎左側第一小臼歯、下顎両側第二乳臼歯)
治療の費用
合計279,190円(保険適応)*顎矯正手術にかかわる入院費や手術費等を除く
※上記価格は税込価格です。消費税は10%で表示しております。
※こちらの症例は2020年1月から2023年8月に行った矯正治療です(現在も経過観察中)
治療期間:3年7か月
治療回数:48回
                                        リスクの副作用:歯の移動や抜歯による違和感や疼痛、口内炎、歯肉退縮、歯根吸収が生じることがある
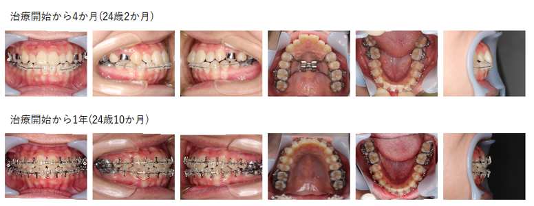
【治療例】初診時年齢:24歳2か月 / 性別:男性 / 主訴:顎のズレ、嚙み合わせのズレ、下の歯が出ている
主訴: 顎のズレ、嚙み合わせのズレ、下の歯が出ている
診断名: 下顎骨の左方偏位を伴ったため左側の交叉咬合を認められた骨格性下顎前突症例
使用した主な装置: マルチブラケット装置、顎間ゴム
抜歯/非抜歯および抜歯部位: 非抜歯
治療の費用
合計 271,560円(保険適応)*顎矯正手術にかかわる入院費や手術費等を除く
※上記価格は税込価格です。消費税は10%で表示しております。
※こちらの症例は2020年7月から2025年4月に行った矯正治療です。
                        治療期間:4年9か月(2023年2月~は保定期間)
                        治療回数:41回
                        リスクの副作用:歯の移動や抜歯による違和感や疼痛、口内炎、歯肉退縮、歯根吸収が生じることがある
                      



 
                            







 
  
                  