- HOME
- マルチブラケット装置症例
マルチブラケット装置症例
【治療例 K5058】初診時年齢:15歳2か月 / 性別:男性 / 主訴:上の前歯が出ている
症例の概要:上顎前歯の唇側傾斜によって口唇閉鎖時は上唇の突出とオトガイの過緊張が認められました。最初に上顎の抜歯を行い、下顎の抜歯は治療経過から考慮することを患者さんにお伝えして治療を開始しました。結果、下顎は一部の歯の隣接面を削ったが抜歯をせずに顔貌の改善および緊密な咬合を獲得することができました。
主訴:上の前歯が出ている
診断名: 著しく上顎前歯が唇側傾斜した下顎後退型の骨格性Ⅱ級、ローアングル症例
使用した主な装置: マルチブラケット装置、サービカルヘッドギア、顎間ゴム
抜歯/非抜歯および抜歯部位: 上顎両側第一小臼歯
治療の費用
自費合計 1,032,900円+保険(親知らず抜歯)| 矯正相談料 | 3,300円 |
|---|
| 基本検査料 | 55,000円 |
|---|
| 診断料 | 7,700円 |
|---|
| 矯正基本料 | 880,000円 |
|---|
| 調整料 | 159,500円 |
|---|
| 観察料 | 26,400円 |
|---|
※上記価格は税込価格です。消費税は10%で表示しております。
※こちらの症例は2009年8月から2011年5月に行った矯正です
治療期間:2年9か月
治療回数:38回
リスクの副作用:歯の移動や抜歯による違和感や疼痛、口内炎、歯肉退縮、歯根吸収が生じることがある
【治療例 K8242】初診時年齢:19歳7か月 / 性別:女性 / 主訴:咬み合わせ、たまに口が開かない
症例の概要:この症例は上下の咬み合わせが悪い事とたまに朝に口が開かない事を主訴に来院された。下顎前歯1本(右下2番)が先天性欠如のほか、両側第一小臼歯が鋏状咬合を呈していた。口元の突出感を認めたことから上顎両側第一小臼歯を抜歯した。その結果、開口障害も無くなり、口元の突出感や咬み合わせも改善した。
主訴: 咬み合わせ、たまに口が開かない
診断名: 両側第一小臼歯の鋏状咬合および下顎前歯1歯(右下2番)の先天性欠如を認めた上顎前突症例
使用した主な装置: マルチブラケット装置、歯科矯正用アンカースクリュー、顎間ゴム
抜歯/非抜歯および抜歯部位: 抜歯(上顎両側第一小臼歯)
治療の費用
自費合計 1,177,000円+保険(親知らず抜歯)| 矯正相談料 | 3,300円 |
|---|
| 基本検査料 | 55,000円 |
|---|
| 診断料 | 7,700円 |
|---|
| 矯正基本料 | 935,000円 |
|---|
| 外科処置[自費] | 55,000円 |
|---|
| 調整料 | 121,000円 |
|---|
| 観察料 | (観察中) |
|---|
※上記価格は税込価格です。消費税は10%で表示しております。
※こちらの症例は2022年6月から2024年5月に行った矯正です
治療期間:2年0か月
治療回数:30回
リスクの副作用:歯の移動や抜歯による違和感や疼痛、口内炎、歯肉退縮、歯根吸収が生じることがある
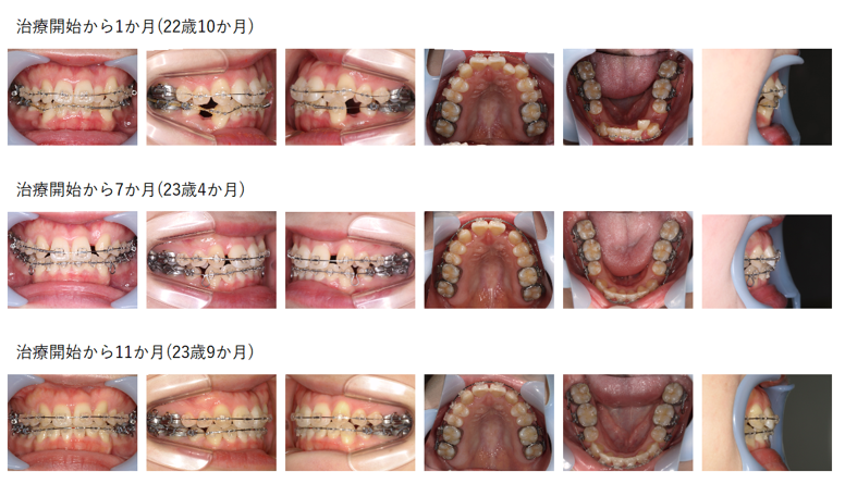
【治療例 K7458】初診時年齢:22歳4か月 / 性別:女性 / 主訴:前歯が出ている。もっと笑顔が作れるようになりたい。
症例の概要:この症例は左側上顎中切歯の突出による口唇閉鎖不全を主訴に来院された。上顎の歯列弓はV字歯列弓で上顎前歯部は重なっていたため、上顎両側側切歯を抜歯し上顎前突の改善を図った。その結果、上下歯列の正中線が一致したほか、口唇閉鎖が容易になった。
主訴:前歯が出ている。もっと笑顔が作れるようになりたい。
診断名:上顎V字型歯列弓を伴った上顎前突症例
使用した主な装置:咬合挙上版、マルチブラケット装置
抜歯/非抜歯および抜歯部位:抜歯(上顎両側側切歯)
治療の費用
自費合計1,243,000円| 矯正相談料 | 3,300円 |
|---|
| 基本検査料 | 55,000円 |
|---|
| CBCT料 | 11,000円 |
|---|
| 診断料 | 7,700円 |
|---|
| 矯正基本料 | 935,000円(審美) |
|---|
| 外科処置[自費] | 11,000円 |
|---|
| 調整料 | 220,000円 |
|---|
| 観察料 | (観察中) |
|---|
※上記価格は税込価格です。消費税は10%で表示しております。
※こちらの症例は2020年6月から2023年11月に行った矯正です
治療期間:3年5か月
治療回数:45回
リスクの副作用:歯の移動や抜歯による違和感や疼痛、口内炎、歯肉退縮、歯根吸収が生じることがある
【治療例 K2296】初診時年齢:24歳2か月 / 性別:女性 / 主訴:上の歯2本が内側にはえていることと右上の八重歯が気になる
症例の概要:上下とも歯が大きくさらに下顎歯列に対して上顎歯列が狭かったため、上顎はクワドヘリックス装置で歯列の拡大を行った後、上下とも歯を抜歯する治療法を選択した。下顎骨の後退位と右方偏位が認められたが、トランスパラタルアーチとハイプルヘッドギアをしてくれたおかげで、治療後は顔貌の改善と緊密な咬合を獲得することができた。
主訴:口元の突出感と上の歯2本が内側にはえていることと右上の八重歯が気になる
診断名:下顎骨が後退位と右方偏位した骨格性Ⅱ級、ハイアングルの上顎前突症例
使用した主な装置:マルチブラケット装置、クワドヘリックス、ハイプルヘッドギア、トランスパラタルアーチ、顎間ゴム
抜歯/非抜歯および抜歯部位:抜歯(上下顎両側第一小臼歯)
治療の費用
自費合計1,137,400円+保険(親知らず抜歯)| 矯正相談料 | 3,300円 |
|---|
| 基本検査料 | 55,000円 |
|---|
| 診断料 | 7,700円 |
|---|
| 矯正基本料 | 880,000円 |
|---|
| 外科処置[自費] | 22,000円 |
|---|
| 調整料 | 143,000円 |
|---|
| 観察料 | 26,400円 |
|---|
※上記価格は税込価格です。消費税は10%で表示しております。
※こちらの症例は2022年7月から2024年11月に行った矯正です。(現在も経過観察中)
治療期間:2年4か月
治療回数:25回
リスクの副作用:歯の移動や抜歯による違和感や疼痛、口内炎、歯肉退縮、歯根吸収が生じることがある
【治療例 K7909】初診時年齢:20歳1か月 / 性別:女性 / 主訴:ガタガタ、嚙み合っていない
治療の概要:他院にて学童期に受け口の改善を矯正歯科治療にて行っていたが、後戻りが徐々に生じた為来院した。噛み合わせが浅く叢生が認められた為、上下顎両側第一小臼歯抜歯を行ったのち、上下マルチブラケット装置にて顔貌及び、咬合の改善を行った。
主訴:ガタガタ、嚙み合っていない
診断名:骨格性下顎前突症例
使用した主な装置:マルチブラケット装置、顎間ゴム
抜歯/非抜歯および抜歯部位:抜歯(上下顎両側第一小臼歯)
治療の費用
自費合計1,119,500円| 矯正相談料 | 3,300円 |
|---|
| 基本検査料 | 55,000円 |
|---|
| 診断料 | 7,700円 |
|---|
| 矯正基本料 | 935,000円(審美) |
|---|
| 外科処置[自費] | 22,000円 |
|---|
| 調整料 | 126,500円 |
|---|
| 観察料 | (観察中) |
|---|
※上記価格は税込価格です。消費税は10%で表示しております。
※こちらの症例は2021年7月から2023年10月に行った矯正です
治療期間:2年3か月
治療回数:40回
リスクの副作用:歯の移動や抜歯による違和感や疼痛、口内炎、歯肉退縮、歯根吸収が生じることがある
【治療例 K7731】初診時年齢:24歳3か月 / 性別:女性 / 主訴:歯の重なり、顎の歪み、正中のズレ、奥歯で噛みしめられない
治療の概要:この症例は、上顎右側側切歯の舌側転位に伴う上顎正中線の右側偏位並びに左側前歯部の垂直的開咬及び正貌の左方偏位を主訴に来院された叢生症例である。上顎には急速拡大装置(RPE)を用いて側方へ骨格を拡大した後、上下顎両側第一小臼歯の抜歯を行った。
その後、上下マルチブラケット装置にて叢生及び開咬、正中線の不一致の改善を行った。
主訴:歯の重なり、顎の歪み、正中のズレ、奥歯で噛みしめられない
診断名:上顎右側側切歯の舌側転位を伴った顔面非対称の叢生症例
使用した主な装置:急速拡大装置、マルチブラケット装置
抜歯/非抜歯および抜歯部位:抜歯(上下顎第一小臼歯)
治療の費用
自費合計1,133,000円| 矯正相談料 | 3,300円 |
|---|
| 基本検査料 | 55,000円 |
|---|
| 診断料 | 7,700円 |
|---|
| 矯正基本料 | 880,000円 |
|---|
| 外科処置[自費] | 22,000円 |
|---|
| 調整料 | 165,000円 |
|---|
| 観察料 | (観察中) |
|---|
※上記価格は税込価格です。消費税は10%で表示しております。
※こちらの症例は2020年12月から2023年8月に行った矯正です
治療期間:2年8か月
治療回数:42回
リスクの副作用:歯の移動や抜歯による違和感や疼痛、口内炎、歯肉退縮、歯根吸収が生じることがある
【治療例 K5815】初診時年齢:44歳0か月 / 性別:男性 / 主訴:受け口と下の歯のガタガタの歯並び
治療の概要:骨格性の反対咬合が認められたために外科的矯正を伝えたが、希望されなかったために矯正単独で行いました。下顎は4番を抜歯することで叢生と前歯の被蓋の改善を図って治療を行いました。
主訴:受け口と下の歯のガタガタの歯並び
診断名:叢生を伴う骨格性Ⅲ級、AngleⅢ級、ハイアングル
使用した主な装置:マルチブラケット装置、顎間ゴム
抜歯/非抜歯および抜歯部位:抜歯(下顎両側第一小臼歯)
治療の費用
治療の費用 1,113,200円+保険(親知らず抜歯)| 矯正相談料 | 3,300円 |
|---|
| 基本検査料 | 55,000円 |
|---|
| 診断料 | 7,700円 |
|---|
| 矯正基本料 | 880,000円 |
|---|
| 外科処置[自費] | 11,000円 |
|---|
| 調整料 | 143,000円 |
|---|
| 観察料 | 13,200円 |
|---|
※上記価格は税込価格です。消費税は10%で表示しております。
※こちらの症例は2013年9月から2016年2月に行った矯正治療です。
治療期間:2年5か月
治療回数:35回
リスクの副作用:歯の移動や抜歯による違和感や疼痛、口内炎、歯肉退縮、歯根吸収が生じることがある
【治療例 K8127】初診時年齢:23歳5か月 / 性別:女性 / 主訴:出っ歯、受け口、噛み合わせが合わない、ガタガタ
治療の概要:この症例は、出っ歯と受け口を主訴に来院された。上下顎両側犬歯に反対咬合も認められた。上顎両側第一小臼歯と補綴処置された下顎右側第二小臼歯と下顎左側第一小臼歯を抜歯して上下マルチブラケット装置にて咬合と側貌の改善を行った症例である。
主訴:出っ歯、受け口、噛み合わせが合わない、ガタガタ
診断名:下顎前突症例
使用した主な装置:マルチブラケット装置、歯科矯正用アンカースクリュー
抜歯/非抜歯および抜歯部位:抜歯(上顎両側、下顎右側第一小臼歯、下顎右側第二小臼歯)
治療の費用
自費合計1,287,000円| 矯正相談料 | 3,300円 |
|---|
| 基本検査料 | 55,000円 |
|---|
| 診断料 | 7,700円 |
|---|
| 矯正基本料 | 1,023,000円(審美、ホワイトワイヤー) |
|---|
| 外科処置[自費] | 22,000円 |
|---|
| 調整料 | 176,000円 |
|---|
| 観察料 | (観察中) |
|---|
※上記価格は税込価格です。消費税は10%で表示しております。
※こちらの症例は2022年1月から2024年11月に行った矯正です
治療期間:1年10か月
治療回数:45回
リスクの副作用:歯の移動や抜歯による違和感や疼痛、口内炎、歯肉退縮、歯根吸収が生じることがある
【治療例 K7047】初診時年齢:15歳7か月 / 性別:女性 / 主訴:下の歯並びがガタガタで磨きにくい
症例の概要:本症例は、下顎がやや前方に位置するⅢ級傾向の症例で、犬歯部に反対咬合がみられました。また、右側奥歯のかみ合わせが不安定な状態でした。右上5番、左上4番、左右下4番および親知らずを抜歯し、マルチブラケット装置による矯正治療を行いました。咬み合わせの安定と、よりバランスの取れた横顔を目標に治療を進めました。治療の結果、奥歯のかみ合わせはⅠ級となり、1歯対2歯の理想的な咬合関係を得ることができました。保定期間終了後も安定した状態を維持しております。
主訴:下の歯並びがガタガタで磨きにくい
診断名:上顎前歯の唇側傾斜を伴う骨格性Ⅲ級 Angle Class Ⅲ 叢生症例
使用した主な装置:マルチブラケット装置、顎間ゴム
抜歯/非抜歯および抜歯部位:抜歯(上顎左側第一小臼歯、上顎右側第二小臼歯、下顎両側第一小臼歯)
治療の費用
自費合計1,211,100円+保険(親知らず抜歯)| 矯正相談料 | 3,300円 |
|---|
| 基本検査料 | 55,000円 |
|---|
| 診断料 | 7,700円 |
|---|
| 矯正基本料 | 935,000円(審美) |
|---|
| 外科処置[自費] | 22,000円 |
|---|
| 調整料 | 181,500円 |
|---|
| 観察料 | 6,600円 |
|---|
※上記価格は税込価格です。消費税は10%で表示しております。
※こちらの症例は2019年2月から2022年4月に行った矯正治療です。
治療期間:3年2か月
治療回数:41回
リスクの副作用:歯の移動や抜歯による違和感や疼痛、口内炎、歯肉退縮、歯根吸収が生じることがある
【治療例 K7176】初診時年齢:22歳7か月 / 性別:女性 / 主訴:ガタガタ、噛み合わせ、前歯が大きい
主訴:ガタガタ、噛み合わせ、前歯が大きい
診断名:上顎V字歯列弓を呈する叢生
使用した主な装置:急速拡大装置、バイヘリックス装置、マルチブラケット装置、顎間ゴム
抜歯/非抜歯および抜歯部位:非抜歯
治療の費用
自費合計1,085,700円+保険(親知らず抜歯)| 矯正相談料 | 3,300円 |
|---|
| 基本検査料 | 55,000円 |
|---|
| 診断料 | 7,700円 |
|---|
| 矯正基本料 | 935,000円(審美) |
|---|
| 調整料 | 71,500円 |
|---|
| 観察料 | 13,200円 |
|---|
※上記価格は税込価格です。消費税は10%で表示しております。
※こちらの症例は2019年7月から2021年5月に行った矯正です。
治療期間:1年10か月
治療回数:27回
リスクの副作用:歯の移動や抜歯による違和感や疼痛、口内炎、歯肉退縮、歯根吸収が生じることがある
【治療例 K7479】初診時年齢:23歳5か月 / 性別:女性 / 主訴:歯並びの悪さ
治療の概要:他院では外科的矯正治療を勧められた症例であったが、当院では非外科で行うこととした。下顎前歯1歯の先天性欠如と左下第一大臼歯に根尖病巣が認められた著しい叢生症例である。左下第一大臼歯を抜去し、左下第二大臼歯を左下第一大臼歯へ、左下第三大臼歯(親知らず)を左下第二大臼歯として代用し、歯を移動させたハーフリンガル(上顎は裏側、下顎は表側のマルチブラケット 装置)症例である。
主訴:歯並びの悪さ
診断名:下顎前歯部1歯先天性欠如を認める叢生症例
使用した主な装置:マルチブラケット装置、トランスパラタルアーチ、歯科矯正用アンカースクリュー
抜歯/非抜歯および抜歯部位:抜歯(左下第一大臼歯、上顎両側第一小臼歯)
治療の費用
自費合計1,481,700円+保険(親知らず抜歯)| 矯正相談料 | 3,300円 |
|---|
| 基本検査料 | 55,000円 |
|---|
| 診断料 | 7,700円 |
|---|
| 矯正基本料 | 1,320,000円(審美、ハーフリンガル) |
|---|
| 外科処置[自費] | 18,700円 |
|---|
| 調整料 | 132,000円 |
|---|
| 観察料 | (観察中) |
|---|
※上記価格は税込価格です。消費税は10%で表示しております。
※こちらの症例は2020年7月から2023年8月に行った矯正です
治療期間:3年1か月
治療回数:53回
リスクの副作用:歯の移動や抜歯による違和感や疼痛、口内炎、歯肉退縮、歯根吸収が生じることがある
【治療例 K7134】初診時年齢:31歳2か月 / 性別:女性 / 主訴:左上の歯が内側にねじれて入ってる。
治療の概要:左上3番の捻転および上顎歯列弓が狭い叢生症例であった。上顎を急速拡大装置にて拡大した後、マルチブラケット装置にて叢生の改善を行った。IPR(歯間隣接面削合)を行いながら非抜歯で上下歯列弓を整えた。ただし左上3番の歯根吸収および歯肉退縮が認められた。
主訴:左上の歯が内側にねじれて入ってる。
診断名:上顎狭窄歯列弓を呈し、左側上顎犬歯の萌出スペース不全を認める叢生症例
使用した主な装置:急速拡大装置、マルチブラケット装置、顎間ゴム
抜歯/非抜歯および抜歯部位:非抜歯
治療の費用
自費合計 1,177,000円| 矯正相談料 | 3,300円 |
|---|
| 基本検査料 | 55,000円 |
|---|
| 診断料 | 7,700円 |
|---|
| 矯正基本料 | 935,000円(審美) |
|---|
| 調整料 | 143,000円 |
|---|
| 観察料 | 33,000円 |
|---|
※上記価格は税込価格です。消費税は10%で表示しております。
※こちらの症例は2020年7月から2022年6月に行った矯正治療です
治療期間:1年11か月
治療回数:38回
リスクの副作用:歯の移動や抜歯による違和感や疼痛、口内炎、歯肉退縮、歯根吸収が生じることがある
【治療例 K5481】初診時年齢:34歳11か月 / 性別:女性 / 主訴:ガタガタの歯並びをきれいにしたい
治療の概要:この症例は、インレーがかぶさっている右上5番、失活歯である右上6番、および左上5番、下4番を抜歯した症例でありました。右上7番を右上6番、右上8番を右上7番に代用しました。著しい叢生はありましたが、上下顎歯列正中が顔面正中に一致し緊密な咬合も得られました。
主訴:ガタガタの歯並びをきれいにしたい
診断名:著しい叢生を認める骨格性Ⅱ級、ハイアングル
使用した主な装置:マルチブラケット装置、顎間ゴム
抜歯/非抜歯および抜歯部位:抜歯(上顎両側第二小臼歯、上顎右側第一大臼歯、下顎両側第一小臼歯)
治療の費用
自費合計1,287,000円+保険(親知らず抜歯)| 矯正相談料 | 3,300円 |
|---|
| 基本検査料 | 55,000円 |
|---|
| 診断料 | 7,700円 |
|---|
| 矯正基本料 | 935,000円(審美) |
|---|
| 抜歯料金[自費] | 22,000円 |
|---|
| 調整料 | 280,170円 |
|---|
| 観察料 | 19,800円 |
|---|
※上記価格は税込価格です。消費税は10%で表示しております。
※こちらの症例は2011年8月から2016年1月に行った矯正です
治療期間:4年5か月
治療回数:104回
リスクの副作用:歯の移動や抜歯による違和感や疼痛、口内炎、歯肉退縮、歯根吸収が生じることがある
【治療例 K7954】初診時年齢:51歳1か月 / 性別:女性 / 主訴:歯の並びが気になる
治療の概要:この症例は、年々酷くガタガタ量が増してきたことを主訴に来院。上顎にはクワドヘリックス装置、下顎にはバイヘリックス装置を用いて側方拡大した後、上下マルチブラケットを用いてIPRを行いながら叢生を取り除いた症例である。
主訴:歯の並びが気になる
診断名:上下叢生を認めるアングルⅠ級症例
使用した主な装置:クワドヘリックス装置、バイヘリックス装置、マルチブラケット装置
抜歯/非抜歯および抜歯部位:非抜歯
治療の費用
自費合計1,149,500円| 矯正相談料 | 3,300円 |
|---|
| 基本検査料 | 55,000円 |
|---|
| 診断料 | 7,700円 |
|---|
| 矯正基本料 | 935,000円(審美) |
|---|
| 調整料 | 132,000円 |
|---|
| 観察料 | 16,500円 |
|---|
※上記価格は税込価格です。消費税は10%で表示しております。
※こちらの症例は2021年8月から2023年7月に行った矯正です
治療期間:1年11か月
治療回数:36回
リスクの副作用:歯の移動や抜歯による違和感や疼痛、口内炎、歯肉退縮、歯根吸収が生じることがある
【治療例 K5986】初診時年齢:58歳1か月 / 性別:女性 / 主訴:右上の八重歯と左下の犬歯が飛び出している。食べ物がはさまりやすい
治療の概要:口元の平坦化から、上下とも非抜歯で試みました。むし歯治療後の金属のかぶせ物が多かったため、治療開始後すぐに仮歯を作製してもらいました。上顎はクワドヘリックス装置にて右上犬歯の隙間を作った後、上下マルチブラケット装置にて歯をならべていきました。
主訴:右上の八重歯と左下の犬歯が飛び出している。食べ物がはさまりやすい
診断名:正中のズレを認める叢生
使用した主な装置:マルチブラケット装置、クワドヘリックス、顎間ゴム
抜歯/非抜歯および抜歯部位:非抜歯
治療の費用
自費合計1,188,000円| 矯正相談料 | 3,300円 |
|---|
| 基本検査料 | 55,000円 |
|---|
| 診断料 | 7,700円 |
|---|
| 矯正基本料 | 935,000円(審美) |
|---|
| 調整料 | 170,500円 |
|---|
| 観察料 | 16,500円 |
|---|
※上記価格は税込価格です。消費税は10%で表示しております。
※こちらの症例は2014年7月から2017年5月に行った矯正です
治療期間:2年10か月
治療回数:32回
リスクの副作用:歯の移動や抜歯による違和感や疼痛、口内炎、歯肉退縮、歯根吸収が生じることがある
【治療例 K8196】初診時年齢:18歳8か月 / 性別:男性 / 主訴:かみ合わせが悪い、中心がズレている、唇が前に出る
治療の概要:この症例は上下前歯部のガタガタと出っ歯を主訴に来院された。上下第一小臼歯を抜歯した後、上顎には歯科矯正用アンカースクリューを埋入し、上下マルチブラケット装置で治療を行った。その結果、咬合が安定し綺麗なスマイルを獲得することができた。
主訴:かみ合わせが悪い、中心がズレている、唇が前に出る
診断名:下顎の左方偏移、上顎の正中のずれを伴う叢生
使用した主な装置:マルチブラケット装置、歯科矯正用アンカースクリュー
抜歯/非抜歯および抜歯部位:抜歯(上下両側第一小臼歯)
治療の費用
自費合計1,086,000円| 矯正相談料 | 3,300円 |
|---|
| 基本検査料 | 55,000円 |
|---|
| 診断料 | 7,700円 |
|---|
| 矯正基本料 | 935,000円 |
|---|
| 外科処置[自費] | 22,000円 |
|---|
| 調整料 | 126,500円 |
|---|
| 観察料 | (観察中) |
|---|
※上記価格は税込価格です。消費税は10%で表示しております。
※こちらの症例は2022年5月から2024年7月に行った矯正治療です
治療期間:2年2か月
治療回数:34回
リスクの副作用:歯の移動や抜歯による違和感や疼痛、口内炎、歯肉退縮、歯根吸収が生じることがある
【治療例 K8257】初診時年齢:24歳3か月 / 性別:男性 / 主訴:見た目が悪く全体的に気になる
治療の概要:全体的な歯並びの悪さを主訴に来院された。初診時には、上下前歯部の重なりや左上の八重歯が認められた。上顎顎両側第一大臼歯の近心移動を防ぐ目的でトランスパラタルアーチを使用した後、上下顎両側第一小臼歯を4本抜歯してマルチブラケット装置による治療を行った。その結果、大臼歯のⅠ級関係を維持しつつ、前歯部の叢生も改善したことでスマイルなど審美的にも良好な結果が得られた。
主訴:見た目が悪く全体的に気になる
診断名:上顎犬歯の低位唇側転位を伴った叢生症例
使用した主な装置:トランスパラタルアーチ、マルチブラケット装置
抜歯/非抜歯および抜歯部位:抜歯(上下顎両側第一小臼歯))
治療の費用
自費合計1,116,000円+保険(親知らず抜歯)| 矯正相談料 | 3,300円 |
|---|
| 基本検査料 | 55,000円 |
|---|
| 診断料 | 7,700円 |
|---|
| 矯正基本料 | 880,000円 |
|---|
| 外科処置[自費] | 22,000円 |
|---|
| 調整料 | 148,000円 |
|---|
| 観察料 | (観察中) |
|---|
※上記価格は税込価格です。消費税は10%で表示しております。
※こちらの症例は2022年6月から2024年8月に行った矯正です
治療期間:2年2か月
治療回数:31回
リスクの副作用:歯の移動や抜歯による違和感や疼痛、口内炎、歯肉退縮、歯根吸収が生じることがある
【治療例 K8511】初診時年齢:22歳11か月 / 性別:女性 / 主訴:前歯で咬めない
症例の概要:本症例は、前歯で咬めないことを主訴に来院された。オーバーバイトが浅く、上顎右側第一小臼歯の歯冠崩壊や上顎左側側切歯の舌側転位及び下顎前歯部の叢生が認められた。上顎にナンスのホールディングアーチで顎内固定を行い、上下顎両側第一小臼歯抜歯を行った。マルチブラケット装置で空隙閉鎖や顎間ゴムで上下正中線を一致させた結果、適切なオーバージェットとオーバーバイトが得られ緊密な咬合を獲得することができた。
主訴:前歯で咬めない
診断名:上顎歯列正中の左方偏位を認める叢生症例
使用した主な装置:ナンスのホールディングアーチ、マルチブラケット装置、顎間ゴム
抜歯/非抜歯および抜歯部位:抜歯(上下顎両側第一小臼歯)
治療の費用
自費合計1,199,000円+保険(親知らず抜歯)| 矯正相談料 | 3,300円 |
|---|
| 基本検査料 | 55,000円 |
|---|
| 診断料 | 7,700円 |
|---|
| 矯正基本料 | 968,000円(審美、ホワイトワイヤー) |
|---|
| 外科処置[自費] | 22,000円 |
|---|
| 調整料 | 143,000円 |
|---|
| 観察料 | (観察中) |
|---|
※上記価格は税込価格です。消費税は10%で表示しております。
※こちらの症例は2023年2月から2025年5月に行った矯正です
治療期間:2年3か月
治療回数:37回
リスクの副作用:歯の移動や抜歯による違和感や疼痛、口内炎、歯肉退縮、歯根吸収が生じることがある
【治療例 K7847】初診時年齢:22歳8か月 / 性別:女性 / 主訴:歯並びが悪く顎が小さい
症例の概要:本症例は、下の前歯のガタつきを主訴に来院されました。幼少期に受け口の矯正歯科治療を受けており、その際に右上2番を抜歯されていたため、上顎歯列の正中が右側へ偏位している状態でした。治療では、左上2番、左右下4番および親知らずを抜歯し、マルチブラケット装置により歯列を整えた後、審美性の向上を目的として左右上3番の歯冠形態修正を行いました。治療後は上下の正中線が一致し、横顔のバランスも改善されました。保定終了時には、わずかに正中のずれが認められましたが、咬合状態は全体として安定していました。
主訴:歯並びが悪く顎が小さい
診断名:上顎右側側切歯既抜歯を伴う叢生の抜歯症例
使用した主な装置:マルチブラケット装置
抜歯/非抜歯および抜歯部位:抜歯(上顎左側側切歯、下顎両側第一小臼歯)
治療の費用
自費合計1,152,000円+保険(親知らず抜歯)| 矯正相談料 | 3,300円 |
|---|
| 基本検査料 | 55,000円 |
|---|
| 診断料 | 7,700円 |
|---|
| 矯正基本料 | 935,000円(審美) |
|---|
| 外科処置[自費] | 16,500円 |
|---|
| 調整料 | 99,000円 |
|---|
| 観察料 | 35,500円 |
|---|
※上記価格は税込価格です。消費税は10%で表示しております。
※こちらの症例は2021年5月から2022年10月に行った矯正です。
治療期間:3年7か月
治療回数:21回
リスクの副作用:歯の移動や抜歯による違和感や疼痛、口内炎、歯肉退縮、歯根吸収が生じることがある
【治療例 K7513】初診時年齢:25歳5か月 / 性別:女性 / 主訴:ガタガタ、口が閉じにくい、歯を磨きにくい
主訴:ガタガタ、口が閉じにくい、歯を磨きにくい
診断名: 上下顎前突症例
使用した主な装置: マルチブラケット装置、歯科矯正用アンカースクリュー
抜歯/非抜歯および抜歯部位: 抜歯(上下顎両側第一小臼歯)
治療の費用
自費合計 1,243,000円| 矯正相談料 | 3,300円 |
|---|
| 基本検査料 | 55,000円 |
|---|
| 診断料 | 7,700円 |
|---|
| 矯正基本料 | 990,000円(審美) |
|---|
| 外科処置[自費] | 22,000円 |
|---|
| 調整料 | 165,000円 |
|---|
| 観察料 | (観察中) |
|---|
※上記価格は税込価格です。消費税は10%で表示しております。
※こちらの症例は2021年3月から2023年11月に行った矯正です
治療期間:2年8か月
治療回数:33回
リスクの副作用:歯の移動や抜歯による違和感や疼痛、口内炎、歯肉退縮、歯根吸収が生じることがある
【治療例 K6058】初診時年齢:33歳9か月 / 性別:女性 / 主訴:上の前歯が出っ歯なのが気になる。
治療の概要:この症例は、上4番と失活歯である下5番を抜歯し、歯科矯正用アンカースクリューとマルチブラケット装置を用いた症例でありました。動的治療終了後、側貌と咬合の改善が著しく認められました。また、口唇閉鎖もしやすくなりました。
主訴:上の前歯が出っ歯なのが気になる。
診断名:著しい上下口唇の突出を認める上下顎前突
使用した主な装置:マルチブラケット装置、歯科矯正用アンカースクリュー、顎間ゴム
抜歯/非抜歯および抜歯部位:抜歯(上顎両側第一小臼歯、下顎両側第二小臼歯)
治療の費用
自費合計1,344,200円+保険(親知らず抜歯)| 矯正相談料 | 3,300円 |
|---|
| 基本検査料 | 55,000円 |
|---|
| 診断料 | 7,700円 |
|---|
| 矯正基本料 | 990,000円(審美) |
|---|
| 外科処置[自費] | 22,000円 |
|---|
| 調整料 | 220,000円 |
|---|
| 観察料 | 46,200円 |
|---|
※上記価格は税込価格です。消費税は10%で表示しております。
※こちらの症例は2015年4月から2018年11月に行った矯正歯科治療です
治療期間:3年7か月
治療回数:50回
リスクの副作用:歯の移動や抜歯による違和感や疼痛、口内炎、歯肉退縮、歯根吸収が生じることがある
【治療例 K8191】初診時年齢:33歳8か月 / 性別:女性 / 主訴:出っ歯、歯並び
治療の概要:この症例は、出っ歯を主訴に来院された。側貌より上下口唇の突出感と口唇閉鎖時にオトガイに梅干し状のしわを認めた為、上下顎両側第一小臼歯抜歯と歯科矯正アンカースクリューを併用して咬み合わせと側貌の改善を行った症例である。
主訴:出っ歯、歯並び
診断名:上下顎前突症例
使用した主な装置:マルチブラケット装置、歯科矯正用アンカースクリュー
抜歯/非抜歯および抜歯部位:抜歯(上下顎両側第一小臼歯)
治療の費用
自費合計1,287,000円+保険(親知らずの抜歯)| 矯正相談料 | 3,300円 |
|---|
| 基本検査料 | 55,000円 |
|---|
| 診断料 | 7,700円 |
|---|
| 矯正基本料 | 990,000円(審美) |
|---|
| 外科処置[自費] | 22,000円 |
|---|
| 調整料 | 209,000円 |
|---|
| 観察料 | (観察中) |
|---|
※上記価格は税込価格です。消費税は10%で表示しております。
※こちらの症例は2021年9月から2024年10月に行った矯正です
治療期間:3年1か月
治療回数:51回
リスクの副作用:歯の移動や抜歯による違和感や疼痛、口内炎、歯肉退縮、歯根吸収が生じることがある
【治療例 K7862】初診時年齢:19歳11か月 / 性別:男性 / 主訴:歯が歪んでいる
症例の概要:この症例は、口ごぼが気になることを主訴に来院された。精密検査の結果、多数歯に根尖病巣が認められた為、他院にて根管治療を行いながら矯正歯科治療を進めていった。上下顎両側第一小臼歯抜歯にて口元の改善と緊密な咬合を獲得することが出来た。
主訴:歯が歪んでいる
診断名:多数歯に根尖病巣が認められた上下顎前突症例
使用した主な装置:マルチブラケット装置
抜歯/非抜歯および抜歯部位:抜歯(上下顎両側第一小臼歯)
治療の費用
自費合計1,133,000円+保険(親知らず抜歯)| 矯正相談料 | 3,300円 |
|---|
| 基本検査料 | 55,000円 |
|---|
| 診断料 | 7,700円 |
|---|
| 矯正基本料 | 880,000円 |
|---|
| 外科処置[自費] | 22,000円 |
|---|
| 調整料 | 165,000円 |
|---|
| 観察料 | (観察中) |
|---|
※上記価格は税込価格です。消費税は10%で表示しております。
※こちらの症例は2022年7月から2024年11月に行った矯正です
治療期間:2年4か月
治療回数:25回
リスクの副作用:歯の移動や抜歯による違和感や疼痛、口内炎、歯肉退縮、歯根吸収が生じることがある
【治療例 K8120】初診時年齢:21歳4か月 / 性別:女性 / 主訴:出っ歯を治して口元を引っ込めたい、下の歯がガタガタ
治療の概要:本症例は、出っ歯と下顎のガタガタを主訴に来院された。上顎左側第二小臼歯に中心結節が認められ、ほぼ180度捻転し、さらに第一小臼歯と第二小臼歯は鋏状咬合を呈した。一方、右側第二小臼歯も中心結節が認められ、交叉咬合を呈した。上下顎両側第三大臼歯および上下顎両側第一小臼歯を抜歯し、固定源には歯科矯正用アンカースクリューを用いて、マルチブラケット装置で矯正歯科治療を行った。その結果、口唇閉鎖時のオトガイ部のしわが消失し顔貌も良好となり、歯列咬合も安定した。
主訴:出っ歯を治して口元を引っ込めたい、下の歯がガタガタ
診断名:上顎前歯の唇側傾斜のある叢生症例
使用した主な装置:マルチブラケット装置、歯科矯正用アンカースクリュー、顎間ゴム
抜歯/非抜歯および抜歯部位:抜歯(上下顎両側第一小臼歯)
治療の費用
自費合計1,248,500円+保険(親知らずの抜歯)| 矯正相談料 | 3,300円 |
|---|
| 基本検査料 | 55,000円 |
|---|
| 診断料 | 7,700円 |
|---|
| 矯正基本料 | 990,000円(審美) |
|---|
| 外科処置[自費] | 22,000円 |
|---|
| 調整料 | 170,500円 |
|---|
| 観察料 | (観察中) |
|---|
※上記価格は税込価格です。消費税は10%で表示しております。
※こちらの症例は2022年9月から2025年7月に行った矯正です
治療期間:2年10か月
治療回数:34回
リスクの副作用:歯の移動や抜歯による違和感や疼痛、口内炎、歯肉退縮、歯根吸収が生じることがある
【治療例 K8273】初診時年齢:24歳11か月 / 性別:女性 / 主訴:歯が出ている、口が閉じれない
治療の概要:本症例は、上下の歯が出ていることによる口元の突出感を伴う口唇閉鎖不全を主訴に来院された。下顎第三大臼歯の水平歯の他、右側犬歯は交叉咬合を呈した。上下第三大臼歯に加え、上下第一小臼歯4本を抜歯し、固定には歯科矯正用アンカースクリューを用いて、マルチブラケット装置にて治療を行った。その結果、口唇閉鎖不全が解消され、緊密な咬合関係が得られた。
主訴:歯が出ている、口が閉じれない
診断名:上顎前歯の唇側傾斜のある上下前突症例
使用した主な装置:マルチブラケット装置、歯科矯正用アンカースクリュー
抜歯/非抜歯および抜歯部位:抜歯(上下顎両側第一小臼歯)
治療の費用
自費合計1,254,000円+保険(親知らずの抜歯)| 矯正相談料 | 3,300円 |
|---|
| 基本検査料 | 55,000円 |
|---|
| 診断料 | 7,700円 |
|---|
| 矯正基本料 | 990,000円(審美) |
|---|
| 外科処置[自費] | 22,000円 |
|---|
| 調整料 | 176,000円 |
|---|
| 観察料 | (観察中) |
|---|
※上記価格は税込価格です。消費税は10%で表示しております。
※こちらの症例は2022年9月から2025年7月に行った矯正です
治療期間:2年10か月
治療回数:43回
リスクの副作用:歯の移動や抜歯による違和感や疼痛、口内炎、歯肉退縮、歯根吸収が生じることがある
【治療例 K7817】初診時年齢:23歳5か月 / 性別:女性 / 主訴:下の歯が入りきっていない、奥歯がかみ合っていない、口元が前に出ている
治療の概要:本症例は、両側第二大臼歯の鋏状咬合を伴い、さらに上下顎前歯の唇側傾斜を呈する上下顎前突症例である。下顎両側第三大臼歯、上下顎両側第一小臼歯、ならびに上顎両側第二大臼歯の抜歯を行い、マルチブラケット装置による治療を行った。上顎には固定源に歯科矯正用アンカースクリューを併用した。その結果、上顎第三大臼歯は第二大臼歯相当の位置まで近心移動が達成され、上下前歯部の叢生および上下口唇の突出は改善され、側貌の調和も獲得された。
主訴:下の歯が入りきっていない、奥歯がかみ合っていない、口元が前に出ている
診断名:両側第二大臼歯の鋏状咬合を伴う上下顎前突 抜歯症例
使用した主な装置:マルチブラケット装置、歯科矯正用アンカースクリュー
抜歯/非抜歯および抜歯部位:抜歯(上下顎両側第一小臼歯)
治療の費用
自費合計1,265,000円+保険(親知らずの抜歯)| 矯正相談料 | 3,300円 |
|---|
| 基本検査料 | 55,000円 |
|---|
| 診断料 | 7,700円 |
|---|
| 矯正基本料 | 990,000円(審美) |
|---|
| 外科処置[自費] | 22,000円 |
|---|
| 調整料 | 170,500円 |
|---|
| 観察料 | 16,500円 |
|---|
※上記価格は税込価格です。消費税は10%で表示しております。
※こちらの症例は2021年6月から2023年10月に行った矯正です
治療期間:2年4か月
治療回数:43回
リスクの副作用:歯の移動や抜歯による違和感や疼痛、口内炎、歯肉退縮、歯根吸収が生じることがある
【治療例 K7009】初診時年齢:16歳8か月 / 性別:女性 / 主訴:八重歯、前歯が内に入っている、下の歯のすきっぱ
主訴:八重歯、前歯が内に入っている、下の歯のすきっぱ
診断名:下顎両側側切歯の先天性欠如を認める過蓋咬合症例
使用した主な装置:咬合挙上版、マルチブラケット装置、顎間ゴム
抜歯/非抜歯および抜歯部位:抜歯(上顎第一小臼歯)
治療の費用
自費合計 1,199,000円| 矯正相談料 | 3,300円 |
|---|
| 基本検査料 | 55,000円 |
|---|
| 診断料 | 7,700円 |
|---|
| 矯正基本料 | 935,000円(審美) |
|---|
| 外科処置[自費] | 11,000円 |
|---|
| 調整料 | 187,000円 |
|---|
| 観察料 | (観察中) |
|---|
※上記価格は税込価格です。消費税は10%で表示しております。
※こちらの症例は2018年12月から2022年12月に行った矯正です
治療期間:4年0か月
治療回数:44回
リスクの副作用:歯の移動や抜歯による違和感や疼痛、口内炎、歯肉退縮、歯根吸収が生じることがある
【治療例 K5226】初診時年齢:17歳1か月 / 性別:女性 / 主訴:前歯の深いかみ合わせを治したい
症例の概要:上顎は非抜歯で矯正歯科治療を開始して、治療経過に伴って抜歯への変更の可能性をあり得ることをお伝えしました。再診断の結果、上顎のみ抜歯を行いました。その結果、7番の鋏状咬合および深いかみ合わせが改善されました。
主訴: 前歯の深いかみ合わせを治したい
診断名: 7番の鋏状咬合を伴うアングルⅡ級2類 ローアングル 過蓋咬合症例
使用した主な装置: マルチブラケット装置、拡大床、サービカルヘッドギア、顎間ゴム
抜歯/非抜歯および抜歯部位: 抜歯(上顎両側第一小臼歯)
治療の費用
自費合計 1,142,900円+保険(親知らず抜歯)| 矯正相談料 | 3,300円 |
|---|
| 基本検査料 | 55,000円 |
|---|
| 診断料 | 7,700円 |
|---|
| 矯正基本料 | 935,000円(審美) |
|---|
| 外科処置[自費] | 11,000円 |
|---|
| 調整料 | 121,000円 |
|---|
| 観察料 | 9,900円 |
|---|
※上記価格は税込価格です。消費税は10%で表示しております。
※こちらの症例は2010年6月から2012年7月に行った矯正歯科治療です
治療期間:2年1か月
治療回数:29回
リスクの副作用:歯の移動、装置による口内炎、抜歯などの痛みや歯肉退縮、歯根吸収、後戻りなどの可能性がある
【治療例 K7266】初診時年齢:23歳2か月 / 性別:女性 / 主訴:噛んだ時に下の歯が見えない、顎関節症、顎が出ている、歯磨きがしにくい
症例の概要:著しい過蓋咬合でかみ合わせた時に下の歯が見えない。またくいしばりがきつく、顎が疲れる症状があった。咬合挙上板を使用してかみ合わせを上げ、下顎はバイヘリックス装置で下の前歯を前に押した後、非抜歯で上下マルチブラケット装置で歯を並べた症例。
主訴: 噛んだ時に下の歯が見えない、顎関節症、顎が出ている、歯磨きがしにくい
診断名: 著しい過蓋咬合を認める症例
使用した主な装置: 咬合挙上版、バイヘリックス、マルチブラケット装置、顎間ゴム
抜歯/非抜歯および抜歯部位: 非抜歯
治療の費用
自費合計 1,138,500円| 矯正相談料 | 3,300円 |
|---|
| 基本検査料 | 55,000円 |
|---|
| CBCT料 | 11,000円 |
|---|
| 診断料 | 7,700円 |
|---|
| 矯正基本料 | 935,000円(審美) |
|---|
| 調整料 | 126,500円 |
|---|
| 観察料 | (観察中) |
|---|
※上記価格は税込価格です。消費税は10%で表示しております。
※こちらの症例は2019年9月から2021年9月に行った矯正治療です
治療期間:2年0か月
治療回数:35回
リスクの副作用:歯の移動や抜歯による違和感や疼痛、口内炎、歯肉退縮、歯根吸収が生じることがある
【治療例 K5629】初診時年齢:33歳11か月 / 性別:女性 / 主訴:上の歯1本出ている。下がガタガタ。よく唇をかむ。
症例の概要:初診時 両側顎関節のクリック音と開口時の痛みおよび開口障害が認められた症例。上顎はファンタイプの拡大装置を使用したのち舌側矯正装置、下顎は唇側矯正装置を用いた。上下前歯部が舌側傾斜を呈し過蓋咬合が認めれたため側貌より非抜歯(隣接面削合で対応)で治療を行った。
主訴: 上の歯1本出ている。下がガタガタ。よく唇をかむ。
診断名: 上下前歯部が舌側傾斜を呈した過蓋咬合症例
使用した主な装置: 上顎拡大床、マルチブラケット装置(ハーフリンガル)
抜歯/非抜歯および抜歯部位: 非抜歯
治療の費用
自費合計 1,512,000円+保険(親知らず抜歯)| 矯正相談料 | 3,300円 |
|---|
| 基本検査料 | 88,000円(精密検査あり) |
|---|
| 診断料 | 7,700円 |
|---|
| 矯正基本料 | 1,265,000円(審美、ハーフリンガル) |
|---|
| 調整料 | 148,500円 |
|---|
| 観察料 | (観察中) |
|---|
※上記価格は税込価格です。消費税は10%で表示しております。
※こちらの症例は2019年4月から2021年9月に行った矯正治療です
治療期間:2年5か月
治療回数:37回
リスクの副作用:歯の移動や抜歯による違和感や疼痛、口内炎、歯肉退縮、歯根吸収が生じることがある
【治療例 K8022】初診時年齢:17歳8か月 / 性別:女性 / 主訴:八重歯、かみ合わせが悪い
症例の概要:この症例は、八重歯とかみ合わせが悪い事を主訴に来院された。上顎犬歯の低位唇側転位、下顎前歯部の叢生および左下2番と3番が癒合歯のほか、過蓋咬合を呈していた。上顎を急速拡大装置、下顎をバイヘリックスを用いて側方拡大した後、マルチブラケット装置を装着し、IPRを行いながら排列した。骨格の前後的な問題が認められなかったため、非抜歯治療にて過蓋咬合も改善し、良好なプロファイルを得ることが出来た。
主訴: 八重歯、かみ合わせが悪い
診断名: 両側上顎犬歯の低位唇側転位および下顎前歯の叢生を認めた過蓋咬合症例
使用した主な装置: 急速拡大装置、バイヘリックス、マルチブラケット装置、顎間ゴム、IPR
抜歯/非抜歯および抜歯部位: 非抜歯
治療の費用
自費合計 1,122,000円+保険(親知らず抜歯)| 矯正相談料 | 3,300円 |
|---|
| 基本検査料 | 55,000円 |
|---|
| 診断料 | 7,700円 |
|---|
| 矯正基本料 | 935,000円(審美) |
|---|
| 調整料 | 121,000円 |
|---|
| 観察料 | (観察中) |
|---|
※上記価格は税込価格です。消費税は10%で表示しております。
※こちらの症例は2022年2月から2024年3月に行った矯正です
治療期間:2年1か月
治療回数:29回
リスクの副作用:歯の移動や抜歯による違和感や疼痛、口内炎、歯肉退縮、歯根吸収が生じることがある
【治療例 K7911】初診時年齢:29歳6か月 / 性別:女性 / 主訴:前歯、横顔が気になる
症例の概要:この症例は、前歯の咬み合わせと横顔を主訴に来院された。上顎に咬合挙上板を装着し、咬み合わせを上げた状態で上下マルチブラケット装置を装着して、非抜歯にて過蓋咬合の改善を行った。
主訴: 前歯、横顔が気になる
診断名: 過蓋咬合症例
使用した主な装置: 咬合挙上版、マルチブラケット装置、顎間ゴム
抜歯/非抜歯および抜歯部位: 非抜歯
治療の費用
自費合計 1,127,500円+保険(親知らず抜歯)| 矯正相談料 | 3,300円 |
|---|
| 基本検査料 | 55,000円 |
|---|
| 診断料 | 7,700円 |
|---|
| 矯正基本料 | 935,000円(審美) |
|---|
| 調整料 | 123,500円 |
|---|
| 観察料 | (観察中) |
|---|
※上記価格は税込価格です。消費税は10%で表示しております。
※こちらの症例は2022年7月から2024年10月に行った矯正です
治療期間:2年3か月
治療回数:25回
リスクの副作用:歯の移動や抜歯による違和感や疼痛、口内炎、歯肉退縮、歯根吸収が生じることがある
【治療例 K7925】初診時年齢:24歳10か月 / 性別:女性 / 主訴:下の歯ガタガタ、上の歯が出ていてかみ合わせが悪い
症例の概要:この症例は、下の歯並びのガタガタを主訴に来院された。初診時には、上顎両側第一小臼歯は抜歯されていた。まず、上顎はクワドヘリックス装置にて側方拡大を行い、下顎はマルチブラケット装置にて側方拡大を行った後、下顎右側側切歯と下顎左側第二小臼歯の抜歯を行い、排列した。変則的な抜歯部位にも関わらず、良好な側貌および咬合を得ることができた。
主訴:下の歯ガタガタ、上の歯が出ていてかみ合わせが悪い
診断名:上顎両側第一小臼歯の既抜歯を伴い、下顎は変則的な抜歯を行った過蓋咬合症例
使用した主な装置:クワドヘリックス、マルチブラケット装置
抜歯/非抜歯および抜歯部位:抜歯(下顎右側側切歯、下顎左側第二小臼歯)
治療の費用
自費合計1,100,000円| 矯正相談料 | 3,300円 |
|---|
| 基本検査料 | 55,000円 |
|---|
| CBCT料 | 11,000円 |
|---|
| 診断料 | 7,700円 |
|---|
| 矯正基本料 | 880,000円 |
|---|
| 外科処置[自費] | 11,000円 |
|---|
| 調整料 | 132,000円 |
|---|
| 観察料 | (観察中) |
|---|
※上記価格は税込価格です。消費税は10%で表示しております。
※こちらの症例は2021年7月から2023年9月に行った矯正です。
治療期間:2年2か月
治療回数:40回
リスクの副作用:歯の移動や抜歯による違和感や疼痛、口内炎、歯肉退縮、歯根吸収が生じることがある
【治療例 K8270】初診時年齢:51歳3か月 / 性別:男性 / 主訴:全体的に歯並びが悪く、上下の顎もズレている
症例の概要:本症例は、歯列不正および顎位の偏位を主訴に来院した過蓋咬合症例である。正貌に著明な非対称が認められたため、外科的矯正治療の適応について説明したが、患者の希望により非外科的矯正治療を選択した。 治療にあたっては、咬合挙上板を装着した後、上下顎にマルチブラケット装置を装着し、咬合挙上および歯列弓の拡大を行った。初診時には下顎右側犬歯の舌側転位が認められたが、下顎前歯部から小臼歯部にかけてIPRを行い排列スペースを獲得することで、歯列の改善を図ることができた。
主訴:全体的に歯並びが悪く、上下の顎もズレている
診断名:下顎右側犬歯の舌側転位および上下前歯部叢生が認められる過蓋咬合症例
使用した主な装置:咬合挙上板、マルチブラケット装置、IPR
抜歯/非抜歯および抜歯部位:非抜歯
治療の費用
自費合計1,210,000円+保険(親知らず抜歯)| 矯正相談料 | 3,300円 |
|---|
| 基本検査料 | 55,000円 |
|---|
| 診断料 | 7,700円 |
|---|
| 矯正基本料 | 935,000円(審美) |
|---|
| 調整料 | 209,000円 |
|---|
| 観察料 | (観察中) |
|---|
※上記価格は税込価格です。消費税は10%で表示しております。
※こちらの症例は2022年7月から2025年11月に行った矯正です
治療期間:3年4か月
治療回数:60回
リスクの副作用:歯の移動や抜歯による違和感や疼痛、口内炎、歯肉退縮、歯根吸収が生じることがある
【治療例 K8297】初診時年齢:31歳6か月 / 性別:女性 / 主訴:歯の隙間と咬み合わせがおかしい
症例の概要:この症例は、下顎左側第一大臼歯の抜去後、長期間放置していた為に咬み合わせがおかしくなったことと他院で下顎右側第一大臼歯が抜歯になると言われたことにより矯正歯科治療を考え、来院された。その下顎右側第一大臼歯に根尖病巣が認められたことと補綴処置が施されていることから、下顎右側第三大臼歯を使うことにした。咬合面のむし歯は治療中に他院で治してもらった。なお、上顎左側第一大臼歯は根管治療に問題がなかったため抜歯せず使用することにした。治療の結果、咬み合わせだけでなく、骨格関係も良くなった症例である。
主訴:歯の隙間と咬み合わせがおかしい
診断名:下顎両側第一大臼歯部の空隙閉鎖を行った症例
使用した主な装置:マルチブラケット装置、顎間ゴム
抜歯/非抜歯および抜歯部位:抜歯(下顎右側第一大臼歯)
治療の費用
自費合計1,127,500円+保険(親知らず抜歯)| 矯正相談料 | 3,300円 |
|---|
| 基本検査料 | 55,000円 |
|---|
| 診断料 | 7,700円 |
|---|
| 矯正基本料 | 935,000円(審美) |
|---|
| 外科処置[自費] | 2,200円 |
|---|
| 調整料 | 126,500円 |
|---|
| 観察料 | (観察中) |
|---|
※上記価格は税込価格です。消費税は10%で表示しております。
※こちらの症例は2022年10月から2024年7月に行った矯正です。
治療期間:1年9か月
治療回数:30回
リスクの副作用:歯の移動や抜歯による違和感や疼痛、口内炎、歯肉退縮、歯根吸収が生じることがある
【治療例 K5391】初診時年齢:17歳6か月 / 性別:女性 / 主訴:自分では気にならなかったが、かかりつけの歯医者で悪いと言われた。
治療の概要:幼少期より舌で上下の歯を継続的に押していた。気づいた時には開咬を呈し前歯で物が噛み切れない状態が続いた。当院では外科的矯正治療を推奨したが、患者自身が拒絶した為 上下マルチブラケット装置のみで治療を行った。舌癖を治すためにタングクリブを装着してもらい、なおかつ顎間ゴムの使用により開咬が改善した症例。
主訴:自分では気にならなかったが、かかりつけの歯医者で悪いと言われた。
診断名:舌突出癖を伴った歯槽性の開咬症例
使用した主な装置:タングクリブ、マルチブラケット装置、顎間ゴム
抜歯/非抜歯および抜歯部位:非抜歯
治療の費用
自費合計1,111,000円+保険(親知らず抜歯)| 矯正相談料 | 3,300円 |
|---|
| 基本検査料 | 55,000円 |
|---|
| 診断料 | 7,700円 |
|---|
| 矯正基本料 | 935,000円 |
|---|
| 調整料 | 110,000円 |
|---|
| 観察料 | (転医の為観察料なし) |
|---|
※上記価格は税込価格です。消費税は10%で表示しております。
※こちらの症例は2011年3月から2013年4月に行った矯正治療です
治療期間:2年1か月
治療回数:33回
リスクの副作用:歯の移動や抜歯による違和感や疼痛、口内炎、歯肉退縮、歯根吸収が生じることがある
【治療例 K7822】初診時年齢:19歳8か月 / 性別:女性 / 主訴:出っ歯、口元が出ている
治療の概要:この症例は、出っ歯と口元の突出感を主訴に来院した。開咬と上顎前歯の唇側傾斜、ハイアングルを認めたため上顎第一小臼歯抜歯を選択した。歯科矯正用アンカースクリューを埋入し、上顎大臼歯の圧下をしながら上下マルチブラケット装置で改善を行った。
主訴:出っ歯、口元が出ている
診断名:アングルⅡ級、開咬、上顎前突、ハイアングル
使用した主な装置:マルチブラケット装置、歯科矯正用アンカースクリュー
抜歯/非抜歯および抜歯部位:抜歯(上顎第一小臼歯)
治療の費用
自費合計1,237,500円| 矯正相談料 | 3,300円 |
|---|
| 基本検査料 | 55,000円 |
|---|
| 診断料 | 7,700円 |
|---|
| 矯正基本料 | 1,023,000円(審美、ホワイトワイヤー) |
|---|
| 外科処置[自費] | 11,000円 |
|---|
| 調整料 | 137,500円 |
|---|
| 観察料 | (観察中) |
|---|
※上記価格は税込価格です。消費税は10%で表示しております。
※こちらの症例は2021年4月から2023年8月に行った矯正です
治療期間:2年4か月
治療回数:34回
リスクの副作用:歯の移動や抜歯による違和感や疼痛、口内炎、歯肉退縮、歯根吸収が生じることがある
【治療例 K7105】初診時年齢:30歳5か月 / 性別:女性 / 主訴:八重歯
治療の概要:右上の八重歯を主訴に来院されたが、臼歯以外の歯は上下的に咬んでいなかった。夜間に歯ぎしりをしていることもあり、歯の咬耗が認められた。軽度の顎関節症状を認めた開咬症例である。
主訴:八重歯
診断名:右側アングルⅡ級を呈した開咬症例
使用した主な装置:クワドヘリックス装置、マルチブラケット装置、顎間ゴム
抜歯/非抜歯および抜歯部位:非抜歯
治療の費用
自費合計1,119,800円| 矯正相談料 | 3,300円 |
|---|
| 基本検査料 | 55,000円 |
|---|
| 診断料 | 7,700円 |
|---|
| 矯正基本料 | 935,000円(審美) |
|---|
| 調整料 | 99,000円 |
|---|
| 観察料 | 19,800円 |
|---|
※上記価格は税込価格です。消費税は10%で表示しております。
※こちらの症例は2019年4月から2020年9月に行った矯正です
治療期間:1年5か月
治療回数:27回
リスクの副作用:歯の移動や抜歯による違和感や疼痛、口内炎、歯肉退縮、歯根吸収が生じることがある
【治療例 K7244】初診時年齢:44歳5か月 / 性別:女性 / 主訴:八重歯、下の歯が1本ねじれている
主訴:八重歯、下の歯が1本ねじれている
診断名:叢生を伴う開咬症例
使用した主な装置:クワドヘリックス装置、バイヘリックス装置、マルチブラケット装置(ハーフリンガル)、顎間ゴム
抜歯/非抜歯および抜歯部位:非抜歯
治療の費用
自費合計1,405,800円+保険(親知らず抜歯)| 矯正相談料 | 3,300円 |
|---|
| 基本検査料 | 55,000円 |
|---|
| 診断料 | 7,700円 |
|---|
| 矯正基本料 | 1,265,000円(審美、ハーフリンガル) |
|---|
| 調整料 | 110,000円 |
|---|
| 観察料 | 19,800円 |
|---|
※上記価格は税込価格です。消費税は10%で表示しております。
※こちらの症例は2019年8月から2021年3月に行った矯正です。
治療期間:1年7か月
治療回数:35回
リスクの副作用:歯の移動や抜歯による違和感や疼痛、口内炎、歯肉退縮、歯根吸収が生じることがある
【治療例 K8409】初診時年齢:19歳3か月 / 性別:女性 / 主訴:上の歯並びが気になる、咬み合わせが気になる
治療の概要:この症例は、上の歯並びと咬み合わせが気になることを主訴に来院された。初診時には上下前歯部の叢生と開咬を認めた。上顎に急速拡大装置(RPE)を使用し、歯列のアーチを広げた後、上下マルチブラケット装置にてIPRを行いながら、治療を行った。その結果、臼歯部のⅠ級関係を維持した状態で、非抜歯にて前歯部の叢生と開咬を改善することができた。
主訴:上の歯並びが気になる、咬み合わせが気になる
診断名:前歯部叢生を伴う開咬症例
使用した主な装置:急速拡大装置、マルチブラケット装置、顎間ゴム、IPR
抜歯/非抜歯および抜歯部位:非抜歯
治療の費用
自費合計1,072,500円+保険(親知らず抜歯)| 矯正相談料 | 3,300円 |
|---|
| 基本検査料 | 55,000円 |
|---|
| 診断料 | 7,700円 |
|---|
| 矯正基本料 | 880,000円 |
|---|
| 調整料 | 126,500円 |
|---|
| 観察料 | (観察中) |
|---|
※上記価格は税込価格です。消費税は10%で表示しております。
※こちらの症例は2022年11月から2024年10月に行った矯正です。
治療期間:1年11か月
治療回数:27回
リスクの副作用:歯の移動や抜歯による違和感や疼痛、口内炎、歯肉退縮、歯根吸収が生じることがある
【治療例 K7499】初診時年齢:30歳9か月 / 性別:女性 / 主訴:八重歯、下の歯のガタガタ、顎の歪み
症例の概要:上顎側切歯の舌側転位と左側大臼歯部の交叉咬合が認められ下顎骨が顔面正中に対して左方偏位していた。上顎は急速拡大装置にて側方拡大した後、非抜歯で上下マルチブラケット装置にて咬合の改善を行った。
主訴: 八重歯、下の歯のガタガタ、顎の歪み
診断名: 上顎左側大臼歯部に交叉咬合を認める下顎骨左方偏位症例
使用した主な装置: 急速拡大装置、マルチブラケット装置、顎間ゴム
抜歯/非抜歯および抜歯部位: 非抜歯
治療の費用
自費合計 1,078,000円+保険(親知らず抜歯)| 矯正相談料 | 3,300円 |
|---|
| 基本検査料 | 55,000円 |
|---|
| 診断料 | 7,700円 |
|---|
| 矯正基本料 | 880,000円 |
|---|
| 調整料 | 132,000円 |
|---|
| 観察料 | (観察中) |
|---|
※上記価格は税込価格です。消費税は10%で表示しております。
※こちらの症例は2020年7月から2022年12月に行った矯正治療です
治療期間:2年5か月
治療回数:32回
リスクの副作用:歯の移動や抜歯による違和感や疼痛、口内炎、歯肉退縮、歯根吸収が生じることがある
【治療例 K7394】初診時年齢:27歳1か月 / 性別:女性 / 主訴:上下ともに前歯が奥にへこんだ歯並びが気になる
症例の概要:本症例は、上下顎前歯部の舌側傾斜及び上顎両側第二大臼歯の鋏状咬合に伴う軽度の過蓋咬合と上顎両側中切歯の歯冠形態不良などを認めた症例であった。上顎に咬合挙上板を装着し、上下顎マルチブラケット装置にて鋏状咬合と過蓋咬合の改善を図った。最終的に歯冠形態修復を行い動的治療を終了した。咬み合わせはもちろん、スマイルも改善した。
主訴:上下ともに前歯が奥にへこんだ歯並びが気になる
診断名:上顎両側第二大臼歯の鋏状咬合を伴った軽度の過蓋咬合症例
使用した主な装置:トランスパラタルアーチ、咬合挙上板、マルチブラケット装置
抜歯/非抜歯および抜歯部位:非抜歯
治療の費用
自費合計1,195,700円+保険(親知らず抜歯)| 矯正相談料 | 3,300円 |
|---|
| 基本検査料 | 55,000円 |
|---|
| 診断料 | 7,700円 |
|---|
| 矯正基本料 | 968,000円(審美、ホワイトワイヤー) |
|---|
| 調整料 | 132,000円 |
|---|
| 観察料 | 29,700円 |
|---|
※上記価格は税込価格です。消費税は10%で表示しております。
※こちらの症例は2020年3月から2022年7月に行った矯正です。
治療期間:2年4か月
治療回数:40回
リスクの副作用:歯の移動や抜歯による違和感や疼痛、口内炎、歯肉退縮、歯根吸収が生じることがある
【治療例 K7357】初診時年齢:16歳1か月 / 性別:男性 / 主訴:下の奥歯が埋まっていて生えてこない
治療の概要:16歳にも関わらず、両側下顎第二大臼歯が未萌出の症例。パノラマエックス線写真により両側下顎第二大臼歯が近心傾斜して埋伏しており両側下顎第三大臼歯(親知らず)が重なっていて萌出できない状態であることが分かった。両側第三大臼歯を抜歯後、両側下顎第二大臼歯を開窓し、マルチブラケット装置とエクステンションリンガルアーチを用いて両側下顎第二大臼歯を整直させた。
主訴: 下の奥歯が埋まっていて生えてこない
診断名: 両側下顎第二大臼歯の水平埋伏
使用した主な装置: リンガルアーチ、マルチブラケット装置、顎間ゴム
抜歯/非抜歯および抜歯部位:非抜歯
治療の費用
自費合計 1,138,500円| 矯正相談料 | 3,300円 |
|---|
| 基本検査料 | 55,000円 |
|---|
| 診断料 | 7,700円 |
|---|
| 矯正基本料 | 880,000円 |
|---|
| 外科処置[自費] | 8,800円 |
|---|
| 調整料 | 170,500円 |
|---|
| 観察料 | 13,200円 |
|---|
※上記価格は税込価格です。消費税は10%で表示しております。
※こちらの症例は2019年11月から2022年8月に行った矯正治療です
治療期間:2年9か月
治療回数:39回
リスクの副作用:歯の移動や抜歯による違和感や疼痛、口内炎、歯肉退縮、歯根吸収が生じることがある
【治療例 K6094】初診時年齢:16歳10か月 / 性別:女性 / 主訴:前歯が出ており、咬み合わない。
治療の概要:前歯の突出感と前歯が咬んでいない(開咬)ことを主訴に来院されましたが、左下には乳歯のEが残っていました。パノラマ写真を撮影したところ、乳歯の下に永久歯の5番が水平的に埋伏していることが確認できました。乳歯Eの抜歯後、永久歯5番の開窓牽引を開始しました。顎間ゴムを頑張ってくれたこともあり、小臼歯などを抜歯せずに咬合の改善ができ、正中線も一致しました。なお、左下5番の周囲の骨が元々、欠損しているために左下5番が再び、傾斜しやすいことを伝えました。
主訴: 前歯が出ており、咬み合わない。
診断名: 下顎左側第二乳臼歯の晩期残存を伴う開咬、骨格性Ⅲ級、ハイアングル症例
使用した主な装置: マルチブラケット装置、保隙装置、顎間ゴム
抜歯/非抜歯および抜歯部位: 非抜歯
治療の費用
自費合計 1,120,900円+保険(親知らず抜歯)| 矯正相談料 | 3,300円 |
|---|
| 基本検査料 | 55,000円 |
|---|
| CBCT代 | 11,000円 |
|---|
| 診断料 | 7,700円 |
|---|
| 矯正基本料 | 880,000円 |
|---|
| 調整料 | 165,000円 |
|---|
| 観察料 | 9,900円 |
|---|
※上記価格は税込価格です。
※こちらの症例は2015年5月から2018年9月に行った矯正歯科治療です
治療期間:3年4か月
治療回数:55回
リスクの副作用:歯の移動や抜歯による違和感や疼痛、口内炎、歯肉退縮、歯根吸収が生じることがある
【治療例 K8161】初診時年齢:15歳5か月 / 性別:女性 / 主訴:犬歯が歯茎の上から生えてきた、奥歯が斜め、歯並び
症例の概要:この症例は上顎右側犬歯の埋伏を主訴に来院したが、両側第二大臼歯の鋏状咬合も見られた。
ファンタイプの拡大床を用いて右上3番のスペースを作ると共に、上下第二大臼歯に顎間ゴムを使用して鋏状咬合を改善した。
右上3番を開窓しフックをつけ、上顎歯列弓のマルチブラケットに牽引し、また下顎歯列にもマルチブラケットを装着し治療を終えた。
主訴: 犬歯が歯茎の上から生えてきた、奥歯が斜め、歯並び
診断名: 上顎右側犬歯の埋伏と第二大臼歯の鋏状咬合
使用した主な装置: 拡大床、サービカルヘットギア、マルチブラケット装置、顎間ゴム
抜歯/非抜歯および抜歯部位: 非抜歯
治療の費用
自費合計 1,151,700円+保険(親知らず抜歯)| 矯正相談料 | 3,300円 |
|---|
| 基本検査料 | 55,000円 |
|---|
| CBCT料 | 11,000円 |
|---|
| 診断料 | 7,700円 |
|---|
| 矯正基本料 | 935,000円(審美) |
|---|
| 外科処置[自費] | 2,200円 |
|---|
| 調整料 | 137,500円 |
|---|
| 観察料 | (観察中) |
|---|
※上記価格は税込価格です。消費税は10%で表示しております。
※こちらの症例は2022年4月から2024年7月に行った矯正です
治療期間:2年4か月
治療回数:40回
リスクの副作用:歯の移動や抜歯による違和感や疼痛、口内炎、歯肉退縮、歯根吸収が生じることがある













































